ope後の消毒と親知らず
投稿日:2017年5月2日
カテゴリ:院長ブログ
こんにちは。八潮駅南口「BiVi八潮」にオープンする歯医者「BiVi歯科・矯正歯科」です。
今日は2日前にインプラントのopeをした患者さまの消毒がありました。
全然痛くないと喜んでおられました。
今日はそのお知り合いの方も御紹介して頂きありがとうございました。
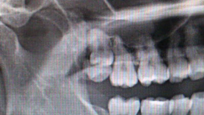
さてもう1つはとても珍しいケースの抜歯でした。
通常歯は8番目までしかありませんが、9番がある方でした。
そしてその部分が腫れて抜歯を希望されました。

よくみると2つありますね。
両方とも歯茎に埋まっていました。
きょうは歯茎を切開し抜歯を行いました。
CTで確認していたので15分程で終わりました。
術後です。

当院では埋伏した親知らずもCTを使用して安全に保険治療内で抜歯をしております。
是非ご相談下さい。
■ 他の記事を読む■
