今日のマイクロスコープ治療
投稿日:2017年12月16日
カテゴリ:院長ブログ
こんにちは。院長の武川です。
きょうもマイクロスコープ治療で充実させて頂きました。
インプラントのOPEから。最初は怖がっていましたが全然痛くないと喜んで頂けました。
「緊張して損した」
と嬉しいお言葉を頂きました。痛みだけではなく腫れや出血をなくすため事前の準備とマイクロスコープを使ったオペは必須だと思います。治療も一回法を選択でき何回もオペをせずに歯がはいります。1回で終わります。この方もセカンドオピニオンで来院されました。

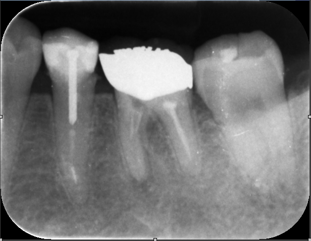
根管治療
主訴:他院で1年根管治療していて不安。治らない。むむっ。根管充填が不良。これは痛そう。
精密根管治療で綺麗に。

根管充填 これでよくなるはずです。来年おいしいものを沢山食べれる様に!!

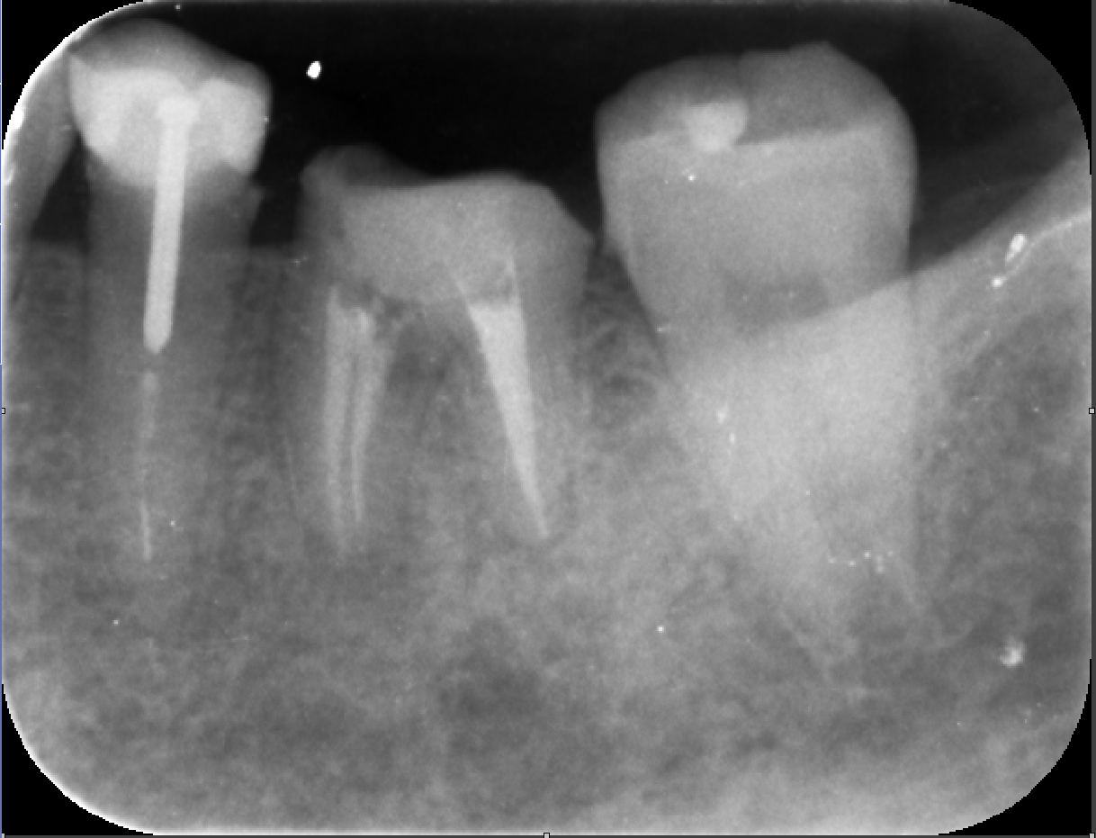
最後は遠方からはるばるお越しいただいている患者さま。
むし歯の相談でいらっしゃいました。
歯科ドックで調べるとむし歯が神経に。。。。6番
歯髄保護治療を行います。神経はとりません。無駄な歯は削りません。
ラバーダムをして
丁寧に 巨大なむし歯
診断の通り神経がみえました。
MTAで神経保存

これで神経を抜かなくて済みます。治療も2回で終了。お金も節約です。
このように当院では無菌的治療で行う事により歯を保存する治療が可能です。マイクロスコープを併用する事で無痛なインプラント治療や根管治療も可能です。
埼玉、三郷、八潮でインプラント治療はBiVi歯科・矯正歯科まで。
■ 他の記事を読む■
