今日のマイクロスコープ治療(矯正治療終盤戦。根管治療、仮歯の調整)
こんにちは。院長の武川です。今日も無事に診療が終わりました。当院は年内明日までの診療になります。
さて、気を抜かずに最後の1人まで頑張りたいと思います。今日の治療の御紹介!!
矯正治療の終盤の患者さま 抜歯スペースも埋まりこれから最終ステージ:フィニシングステージへはいります。
犬歯関係がよくないのでこんな機械で針金に熱を加えニッケルチタンワイヤーを曲げていきます。


左下の犬歯にオフセット
トルクも確認
なるべくニッケルチタン系のワイヤーを使うことで弱い力で歯を動かしていきます。痛みが少ない矯正が可能になります。来年春に外す予定です!!
次は精密根管治療
先日こんな機材を買いました。唾を綺麗吸う道具!これ、いいです!!

前回から根管治療開始。1回の治療で「今まで腫れていたのが嘘みたい!!」とお褒めのお言葉を頂きました。歯は原因が取れれば治癒の方向へ向かいますとお話ししました。私も嬉しい!!根管治療は回数ではありません。当院では平均3回で終了しています。回数が増えるほど、しかも、もしその際ラバーダムなど無菌的処置をしていなければ感染する機会が増え一向に治りません。だから当院は短期集中。
綺麗になりました。
術前と術後
もちろん無痛です。
最後は根管治療が終了し土台を作成した方
前歯の根管治療を終了し土台を作成
この状態から
こんな感じ
この土台にも根管内に感染が入らない工夫がしてあります。
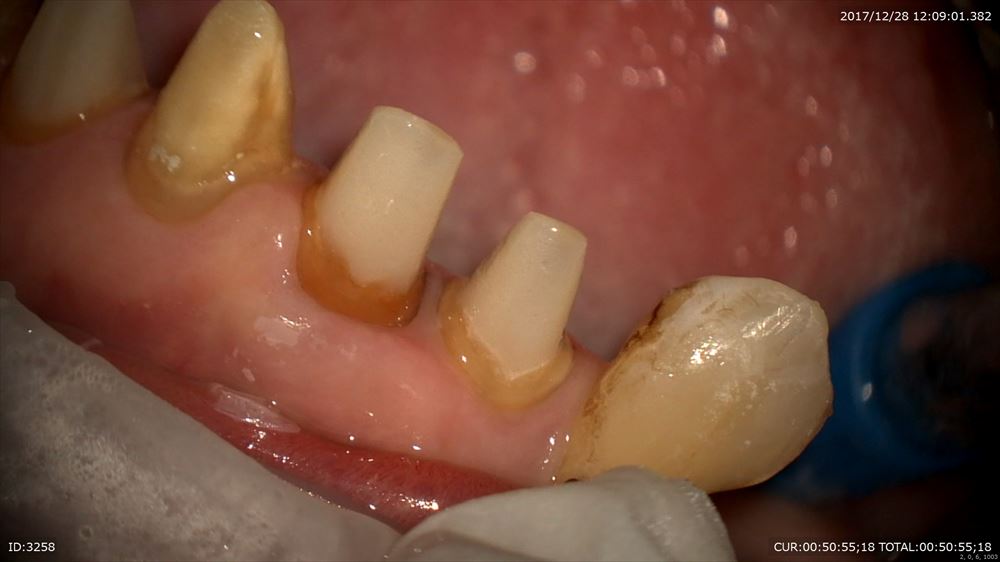
そして仮歯の作成

ここから
こんな感じ。

仮歯ですが機能はしっかりしています。お正月も安心!!
今日も充実した1日でした。
この様に当院では虫歯であってもその原因をしっかり見極め無痛で施術しています。埼玉、八潮、三郷、草加で虫歯治療はBiVi歯科・矯正歯科まで。
■ 他の記事を読む■
