今年最後のマイクロスコープ治療(精密根管治療、虫歯治療)
投稿日:2017年12月29日
カテゴリ:院長ブログ
こんにちは。院長の武川です。今日で本年の診療が終わりました。無事で何より。スタッフにも感謝です。今日も素晴らしい1日でした。こうやって「一日一生」の気持ちの仕事を1日1日積み重ねていきたいと思います。
今日は母親の精密根管治療の二回目でした。
早速嬉しい事が!下記の様に母親は重症の虫歯が根っこの先に移動し「歯茎の異常」を呈していました。前回から始まった精密根管治療により腫れと症状はすっかり良くなりました。嬉しい!!今日は症状がないので2回目で根管充填。治療が終わりました。ご紹介します。

ラバーダムをして
デブライドメント
綺麗に
根管充填
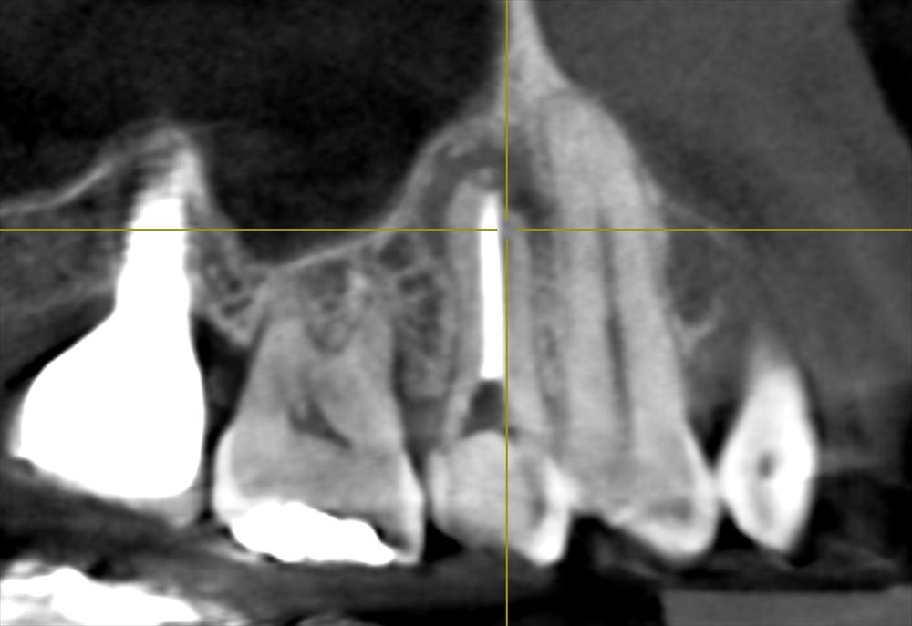
CTでも近遠心で確認
頬側の骨がないですね。この治療で再生してくるはずです。

ちなみに下記のCTに写っているインプラントは私がすべて行った物です。下もあわせて5本。すでに下は9年経過です。まったく問題ありません。
歯が欠損していたときの第一選択はインプラントがやはり一番安定していると思います。ただ診断をしっかりして保存が可能であるという場合は今回の様に精密根管治療や精密歯周病治療で保存します。包括的に考える事が大切ですね!家族にお勧めしている治療です。
さて次のこの方は診断の為にマイクロスコープで土台を外しました。
土台を外すと
虫歯が。。。。。こんなに。。。放っておくと大変なことになります。

私はこのような状態でも精密根管治療と矯正、そしてクラウンレングスニングという術式で歯の保存が可能です。ただこの患者さまと、治療費、回数、10年予後など総合的なお話しをさせて頂き
①精密根管治療と矯正、そしてクラウンレングスニングという治療計画
②抜歯→インプラントというシンプルな治療計画
をの治療の選択肢をお話ししました。
その他、入れ歯やブリッジのお話しもしてこの患者さまはインプラントを選択されました。この治療の選択肢をお話しする為に「歯科ドック」が必要です。中にはブリッジの方が適応というケースもあります。かみ合わせ、歯周病、歯の動揺、年齢や仕事、内科的な病気、家までの距離、性格などあらゆる情報を加味して計画を立てています。
次の患者さまは3回目の精密根管治療の方 ニッケルチタンのファイルで
綺麗に
根管充填
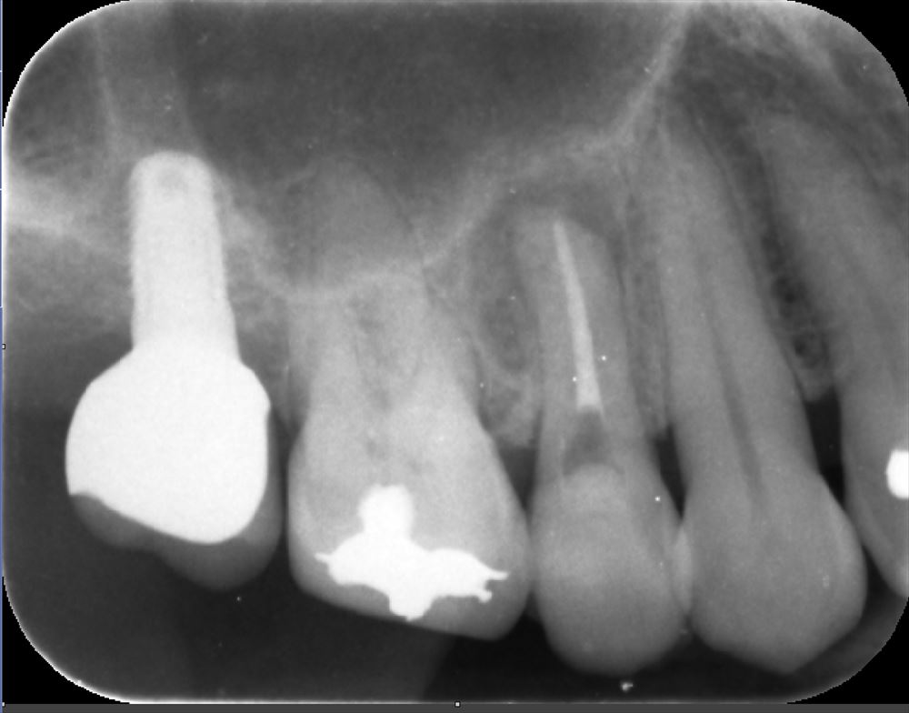
術前は感染だらけ
症状もなくレントゲンでも問題ありませんでした。
術前(右)根管充填後(左)
次は親知らずの抜歯です。良くなって嬉しいです。
このように当院では今年1年診査・診断(歯科ドック)に力を入れることで数多くの歯を救う事ができ長期的な予後が期待できています。来年もぶれることなく邁進し患者さまとスタッフを幸せにしたいと本気で願っています。埼玉、八潮、三郷でインプラントならBiVi歯科・矯正歯科まで。
■ 他の記事を読む■
