衛生士のトレーニング
投稿日:2020年2月28日
カテゴリ:スタッフブログ
初めまして。Bivi歯科クリニック 歯科衛生士 杉山です。
初めに診療に関してのお知らせです。
お陰様で「歯周病専門医」の治療を求め県外、海外よりお越しいただいています患者さまが多くなった為、皆様には大変ご迷惑をお掛け致しますが土曜日の診療は3月1日より専門治療のみになります。ご理解いただきますよう宜しくおねがい致します。
Bivi歯科クリニックで歯科衛生士が行っていることや、知って得をする情報などを発信していければと思います!
今回は私達が日々行っている精密検査についてご紹介します。
BiVi歯科では、患者さん一人一人に精密検査を受けて頂いております。
精密検査は、『記録』『撮影』の二つの工程があり、二つが非常に大切です。
なぜなら、治療を進めていく中で患者さまのお口の写真を撮影し、記録をとることで治療前に比べてどれだけ良くなっているかを明確に確認できるからです。そのため、初めて来院された患者さまの治療前のお口の中は最初でしか撮影することができないため、非常に重要な撮影になります。

※当医院では1年に1回のペースで歯周病のポケット検査・口腔内カメラ・レントゲンの撮影を行っていくプログラムで管理しています。
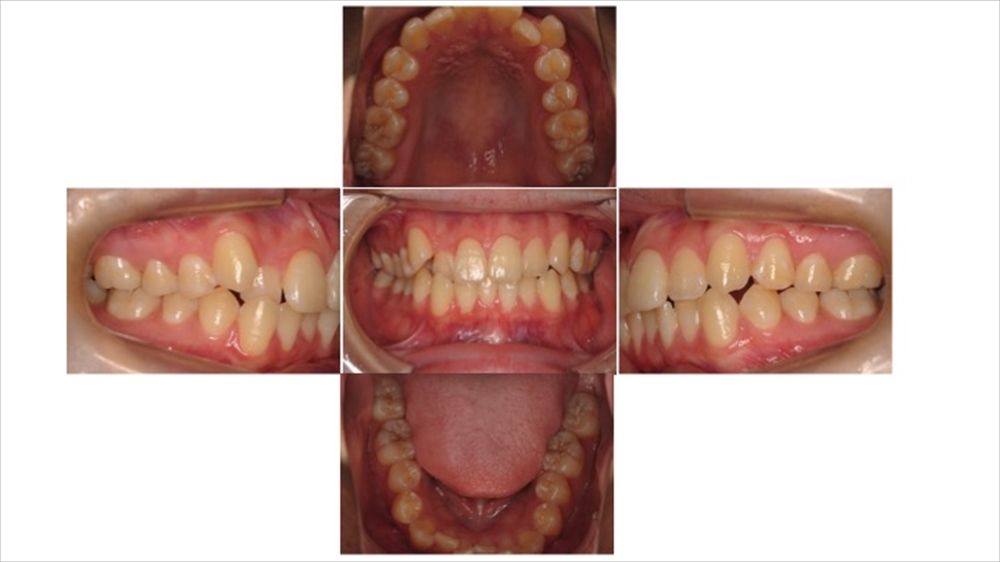
実際に撮影した写真をご案内します。

上記の写真がお口を撮影した写真です。
このように上下左右、正面から撮影することで患者さまのお口の状態を把握し、記録します。
撮影する際の精度が非常に大切で、規格写真や規格レントゲン写真は位置や角度が決まっているので一人一人のスキルが求められます。
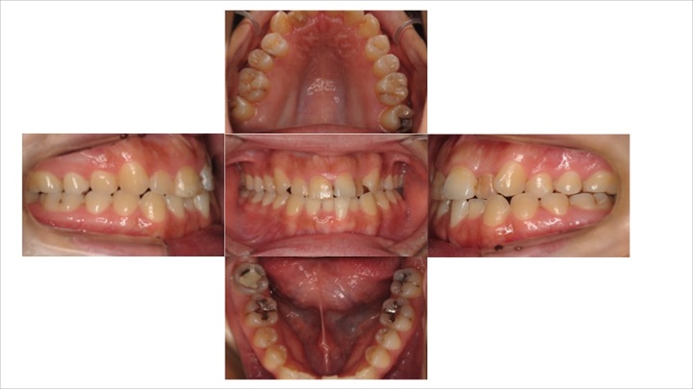
実際の練習風景になります。
撮影者によってズレがない様に私達は日々練習を行っています!!
上記の写真が練習によって精度が向上したお口の撮影になります。
ちなみにブログの最初にご紹介したお口の写真は精度の低い撮影例です。
ぱっと見わかりませんが、5枚ある写真の内右手の写真に違いがございます。
違う点としては“平行に確認しやすいように撮影できているかどうか”という点になります。是非、見比べてみてください。
今回は精密検査の『記録』『撮影』の2点にフォーカスしてご紹介させていただきました。
当院では、精密検査一つをとっても細部にわたって意識しております。
今後も当院やスタッフが日々行っている事をご紹介させていただきますので、ぜひご覧下さい。
埼玉、八潮、草加、三郷で歯周病治療ならBiVi歯科・矯正歯科まで。
■ 他の記事を読む■
