前歯を綺麗にしたい患者様
投稿日:2020年2月15日
カテゴリ:院長ブログ
こんにちは。
院長の武川です。
最近はお蔭様で6月の矯正学会、10月国際歯科大会.11月の講演,1月にモリタ講演に向け日々勉強をしております。でも最近一番勉強しているのは私ではなくスタッフです。毎日練習を積んでいます。昼休みも夜も。大丈夫か位練習しています。でも嬉しいです。私も頑張んなきゃ!有難い事に専門医を取得してから歯科衛生士さんの応募が多くなり、今年だけで7人面接しました。その中で唯一入社を許された衛生士さんも2日目のテストに合格できず卒業になりました。
このように厳しい試験と講習が当院の衛生士には義務になっています。
しかし頑張っていると、、
当院のチーフ衛生士の杉山のように「歯科医師向けの歯周病講演の依頼」がきたりチャンスを掴んでいるようです。
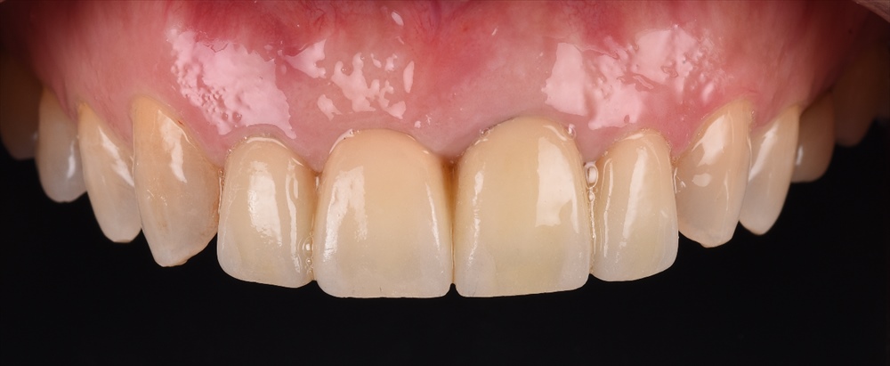
さて本日は前歯を綺麗にしたいという患者さまが多いのでブリッジのケースをご紹介。
とても綺麗なお顔の女性の方。性格も穏やか。品のある素敵な方のご紹介
前歯を綺麗にしたいとの依頼でした。歯茎のライン、色、テクスチャー形態があっていません。
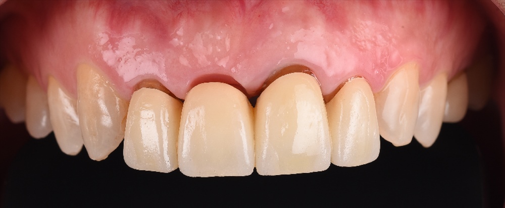
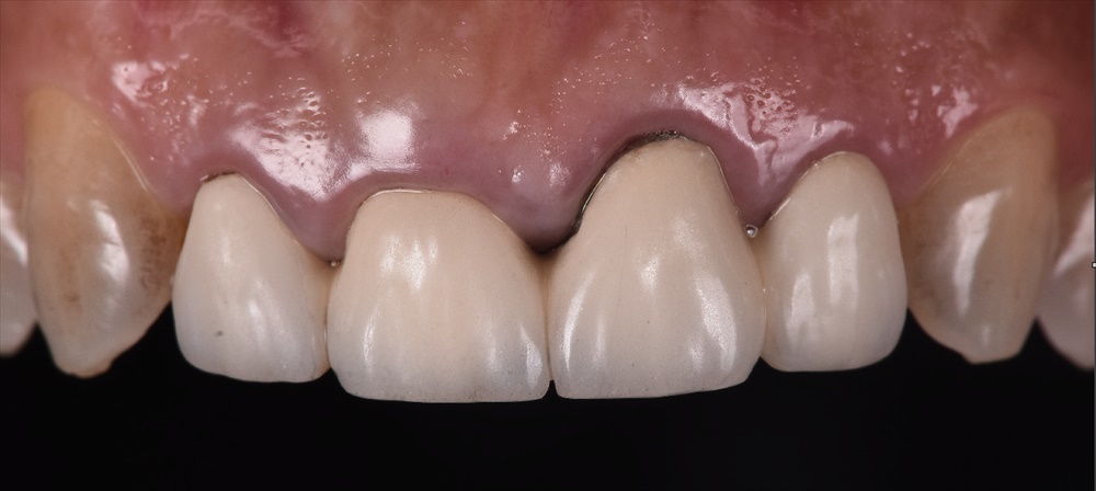
検査の結果残念ながら右上の前歯が折れていまして抜歯になりました。
このまま抜歯したままブリッジを作成すると組織の吸収がおこります。
結果綺麗な前歯がはいりません。
今回は幾つか工夫をして
仮歯を調整し
歯茎を整えます。歯周病専門医はこんな仕事をします。
患者さまに喜んで頂けました。
歯がまるであるかのような仕上がりです。
埼玉、八潮、草加、三郷で審美治療ならBiVi歯科・矯正歯科
■ 他の記事を読む■
