今年度最終日!
投稿日:2018年4月1日
カテゴリ:院長ブログ
こんにちは。院長の武川です。今日は今年度最終日。今年度も沢山の患者さまとスタッフに支えられ無事に終了致しました。ありがとうございました。
この2~3年は昔のブログを見ても分かるように
「歯の保存と矯正に特化した医院作り」
を徹底的に行い
日本と世界で「歯の保存」と「矯正治療」に特化しているクリニックやDrの医院見学、医院システムを勉強し当院に取り入れてきました。特に
矯正治療と根管治療には時間を割きました。
1人ですべての治療を行う事には限界感じ(特にクオリティの面)当院は小児歯科や義歯、口腔外科に関しては専門医とインターディスプリナリーで治療を行うようになりました。
ただその分専門の保存分野(修復、歯周病、根管治療)に関しては3年前の自分だったら治せずインプラントになっていた症例が今ではすべてではないですが治っていると実感しています。
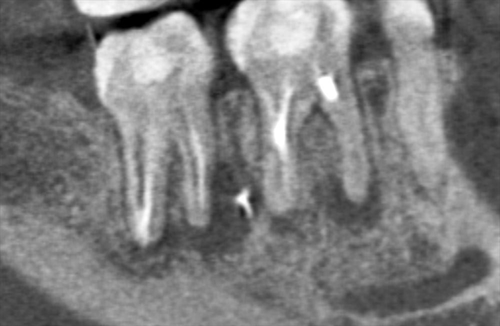
今日のこの方も
11月の初診時
右下の歯茎から膿が出ていました。

右下6.7に根尖性歯周炎。7番の近心は大きな透過像。6番の近心根は狭窄している。。。。難症例です。
本人も痛みで寝れないと。。
抜けば早いです。1日で痛みも取れます。でも
保存したい!!本人も強い希望もありました。まだ30台の女性。
通法通り精密根管治療

レーザー
根管治療の基本をきちっと守る。
厳密に根管充填

今日
症状も腫れもなく本人笑顔!!!比較写真
この様に当院では保存治療を専門に治療を行っております。
保存治療のスペシャリストとして来年度も精進して参ります。
埼玉、八潮、草加、三郷で痛くない治療ならBiVi歯科・矯正歯科。
■ 他の記事を読む■
