型とり(印象)の1日
投稿日:2018年4月3日
カテゴリ:院長ブログ
こんにちは。院長の武川です。今日は型とりが多い1日。
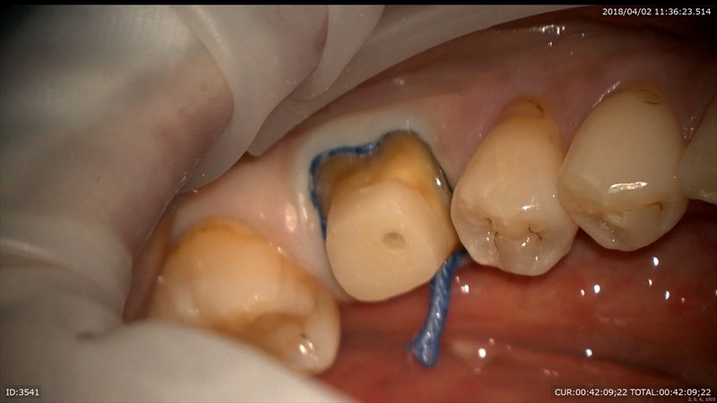
型取りは非常に大切で最も難しいと感じる今日この頃。1ケースご紹介。左下の根管治療が終わり土台を立て歯周組織の安定が図れた状態でしたので本日最終的な型を取りました。
担当している技工士間中さんは妥協を許さない人。だから良い仕事が出来る。何回でも突き返してきます。笑。特に難しいのはこの歯茎と歯の境目をしっかり出すこと。歯茎の厚みなどを考慮して糸を変えます。
このままで型を取ると歯根の立ち上がりが全く分かりません。
だからこのように1本糸を差し込み
痛くない様にするにはマイクロスコープを使用します。
そしてそこから少し形成

2本目

OK
この部分が歯根の立ち上がりです
なめらかな形成と精密な型取り最高の技術の技工士、どれが欠けてもダメです。
埼玉、八潮、三郷、草加で審美歯科ならBiVi歯科・矯正歯科。
■ 他の記事を読む■
