他院で抜歯と言われた歯を保存した症例
投稿日:2019年3月17日
カテゴリ:院長ブログ
この方は2014年11月に初診でいらした方です。
主訴は
「他院で多数抜歯して入れ歯にすると言われた。なるべく抜きたくないし入れ歯なんて絶対嫌!」
知り合いからの御紹介でいらっしゃいました。
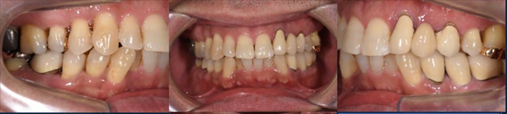
初診時です

歯茎が腫れていました。歯の揺れも全体的に激しく硬いものは咬めない状態でした。
歯科ドックの精密検査を行い原因を調べます。

全顎的な重度の歯周病でした。
本人にカウンセリングを行い1本でも多くの歯を残して入れ歯になるのを防ぎましょう!とお互い誓いました。カウンセリング時に治療計画書をこの様にすべての患者さまに作って渡しています。

本人のブラッシングと徹底的な歯周基本治療をしてバイオフィルムをマイクロスコープで取ります。
こちらは基本治療が終了した所です。歯肉は引き締まり出血はほぼありません。
歯周病の治療は再評価を繰り返しゴールを定めます。再評価の結果が良かったことから治療計画を少し変更して患者さまの希望にあわせゴールに向かいました。
ここも患者さまとじっくりお話しします。保険治療で治せる所も沢山ありました。
数本の歯以外完全回復しています!
その後左上と右下には歯周組織再生療法を行い下記の様にほぼすべての歯が保存でき本人の希望であった入れ歯にもなりませんでした。患者さまは大満足されていました。
下記は治療が終わった日のレントゲンです。歯の揺れもなくなり大好きなおせんべいも食べれます!



先日メンテナンスでいらして頂いた時の写真とレントゲンです。初診と比較しました。
〇の所に注目して頂くと骨の再生が見られます。メンテナンスに移行して2年経ってもこの様に骨の再生が見られます。
歯周病の専門医によるマイクロスコープを使用した歯周組織再生療法で歯はこの様に残せます。
当院にいらして頂いている方はご存知だと思いますが当院では歯周病治療をこの様にプログラム化しています。規格化された綺麗な資料と歯周病専門医、専門衛生士、マイクロスコープ、ベーシックプログラム、アドバンスプログラムを敷く事が歯を保存します。
| 治療期間 | 1年半 |
|---|---|
| 治療回数 | 15回 |
| 治療費 | 104.5万円(税込) |
| この治療のリスク | ・歯周病治療の後に歯茎が下がる事があります |
埼玉、草加、三郷、八潮で歯周病治療ならBiVi歯科・矯正歯科まで。
■ 他の記事を読む■
