1本の歯も抜かず保存出来ている症例
投稿日:2019年3月18日
カテゴリ:院長ブログ
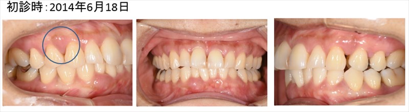
この症例は重症の歯周病の患者さまを1本たりとも歯を抜かず安定している症例です。
歯茎が腫れあがり膿をもっていました。青丸の部分です。全顎的に重度歯周病です。
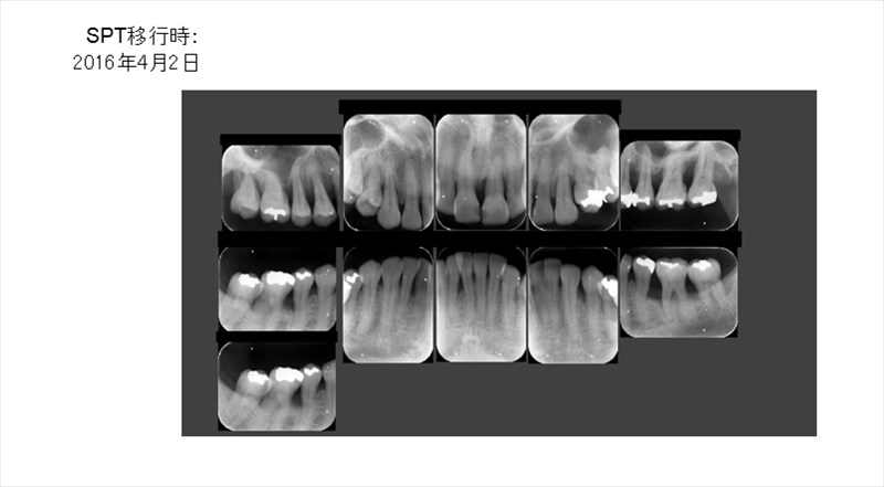
歯周病のプログラムを当院で受けて頂き特に再生療法の様な手術もせずこのように骨が再生しています。
勿論劇的に歯周ポケットは改善しています。
左下の比較
左上の比較
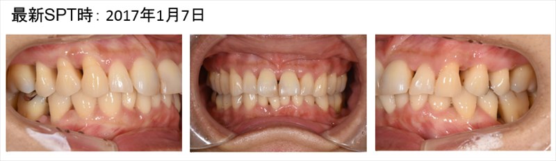
メンテナンスに移行する際のレントゲン
骨が平坦になり歯ブラシのしやすい形態になって今年も安定しています。術後4年、問題なく1本も歯を失っていません。

術前の腫れは全く見られません。
歯周病はこのように治ります。治せます。
| 治療期間 | 9ヵ月 |
|---|---|
| 治療回数 | 10回 |
| 治療費 | 15.4万円(税込) |
| この治療のリスク | ・歯周病治療の後に歯茎が下がる事があります |
埼玉、草加、三郷、八潮で歯周病治療ならBiVi歯科・矯正歯科。
■ 他の記事を読む■
