前歯の審美修復・歯肉形成を伴う症例
投稿日:2020年12月12日
カテゴリ:院長ブログ
こんにちは。
院長の武川です。今日の症例は前歯の審美修復症例です。
前歯を綺麗にして欲しいとの事
ご家族で来院して頂いている美しい女性の方です。
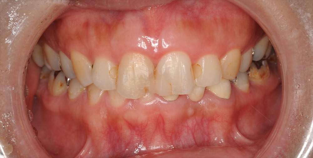
確かに前歯は今まで詰めてきた詰め物が割れ、変色をし神経がない事もあり右上の前歯は色が変わっています。歯茎が見えるガミースマイルだった為、歯肉形成外科をマイクロサージェリーで行い

歯の長さを獲得しました。
ここから歯をなるべく削らない作戦を技工士の間中とたてガイドを作成
見て頂くと分かると思いますが、前歯2本のみ0.7削り他はノンプレップ(削らない)です。

形成量はこの感じ。
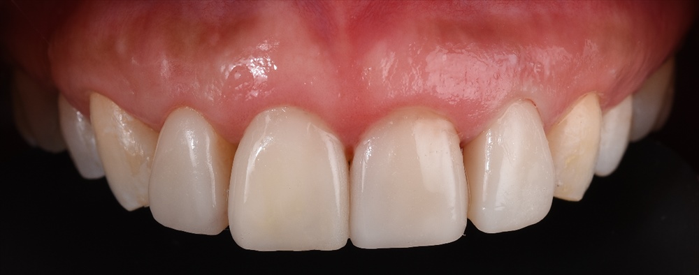
先日 術後
ラミネートべニアをセットしました。
術前
笑っても歯肉が見えにくいので更にお綺麗になりました。
患者さまも喜んで頂き嬉しかったです!
埼玉、八潮、草加、三郷で審美治療ならBiVi歯科・矯正歯科
■ 他の記事を読む■
