前歯の審美修復と歯肉再生治療
投稿日:2020年12月1日
カテゴリ:院長ブログ
こんにちは。院長の武川です。
この「症例紹介ブログ」も最初は、なんとなく書きはじめましたが、調べてみると毎月数百人の方、多い時は1000名の方がみている事に最近びっくりしました。今はこのような時代なのでSNSなどでしっかり調べてから治療を考える方が多い様です。少しでも情報をお伝えできればと思います。
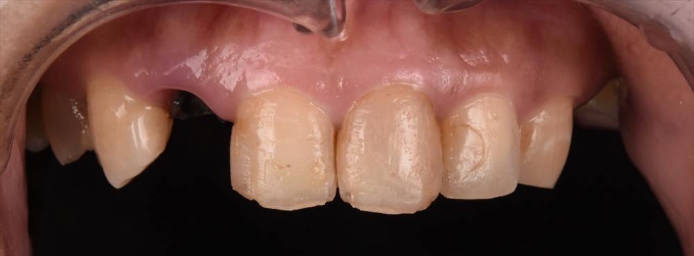
さて本日ご紹介させて頂きます症例は前歯の見た目を気にされていた美しい女性の方、治療中に体重も落とされたそうで、元々お美しい方ですが、更に磨きがかかったようでした。
主訴は前歯が気になる。
見た目や色、形、歯がない。。。など

右上の歯がない所は根が折れています。それ以外の歯は色や形が宜しくないかと。
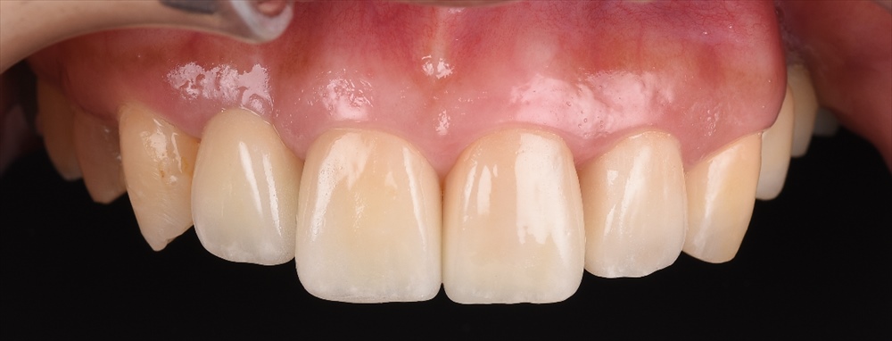
歯科ドックを行い、きちんとカウンセリングを行って
歯が折れた所は無切開インプラント+歯肉移植(マイクロサージェリー)

他はラミネートべニアで歯をほぼ削っておりません。
昨日のセット時
非常に喜んで頂いて私も嬉しい!!
患者さまのお子様にも綺麗~といわれたようで、綺麗なママの方が良いですものね!
うちのセラミストの間中のお陰です。すべての技工物や診断は間中と行っています。
本当にこの仕事は楽しい仕事です!!
埼玉、八潮、草加、三郷で審美治療ならBiVi歯科・矯正歯科
■ 他の記事を読む■
