修行は楽しい。
投稿日:2018年2月8日
カテゴリ:院長ブログ
こんにちは。院長の武川です。昨日は患者さまにお休みを頂き朝から夕方までは行徳で矯正の修行。
朝7時早い。こんな朝から修行をつけて頂ける事に感謝いたします。
朝練
だれもいない。一番のり。

ここでもう1年になります。分かりやすい講義で矯正の実力がメキメキあがってきました。先生に感謝。患者さまに還元致します。
夜はSJCDヤングミーティングで勉強会。昨日は歯周病とインプラントのディスカッション。
受講生の勤務医の先生が結構職場を探していました。やはり皆さん良い職場を探しているのですね。そういえば明日当院にも見学の先生がいらっしゃいます。楽しみです!最近見学者多いです。来週は衛生士さん。有り難い。やる気がある方が多く日本の歯科は安泰ですね。

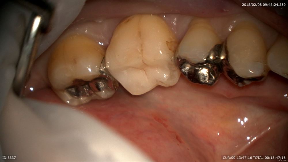
さて今日はセットが多い1日
左下
詰め物をオーダーメイド

フィット
このように隙間がなく細菌の侵入を防ぎます。
とにかくやり直しのない治療を目指す為に当院では金属を使用しません。
この方は型とり
先程の方もこの方もマイクロスコープを使用し出血がありません。
もちろん無痛。
埼玉、八潮、草加、三郷で矯正歯科ならBiVi歯科クリニックまで。
■ 他の記事を読む■
