明日は修行日|埼玉県八潮駅から1番近い歯医者 BiVi歯科・矯正歯科

完全予約制
  • 048-951-1482
  • ※電話受付は午前は12:30/午後は17:00までです

  • 埼玉県八潮市大瀬6-1-6 BiVi八潮3F

明日は修行日

投稿日:2018年2月6日

カテゴリ:院長ブログ

こんにちは。院長の武川です。明日はクリニックはお休みを頂き朝6時に起きて夕方までは矯正の修行に行徳に行って参ります。その後表参道に移動し19時からSJCDヤングミーティング(40歳未満の歯科医師による勉強会)に参加致します。明日の発表者は頑張り屋の2人。楽しみです。

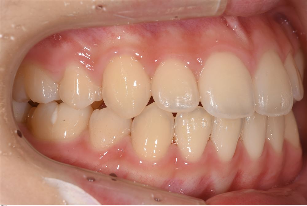
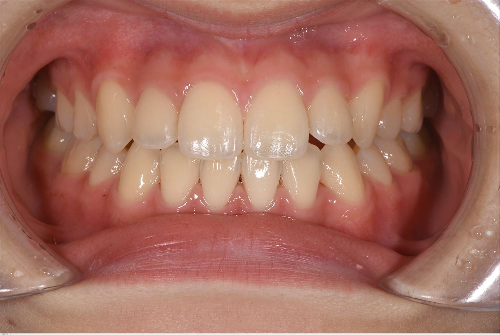
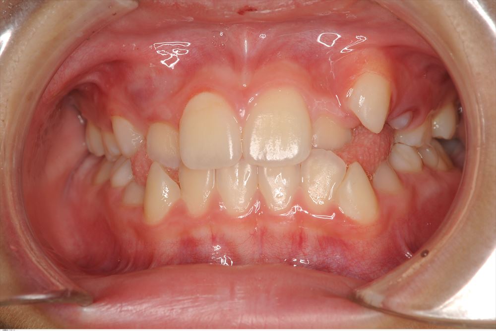
今日は矯正の装置を外した女の子。外してとても喜んで頂けました。

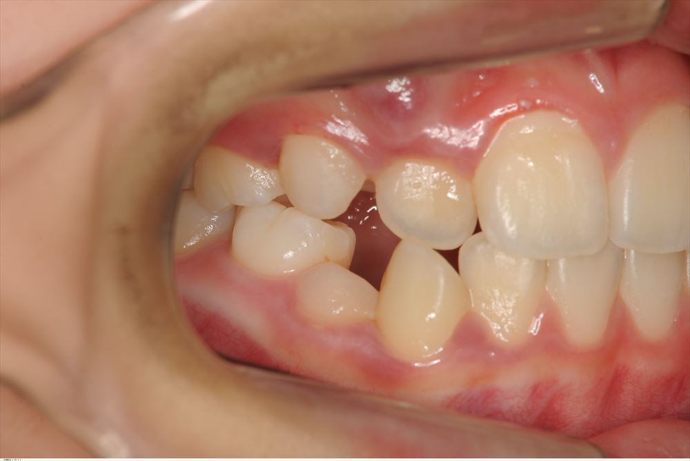
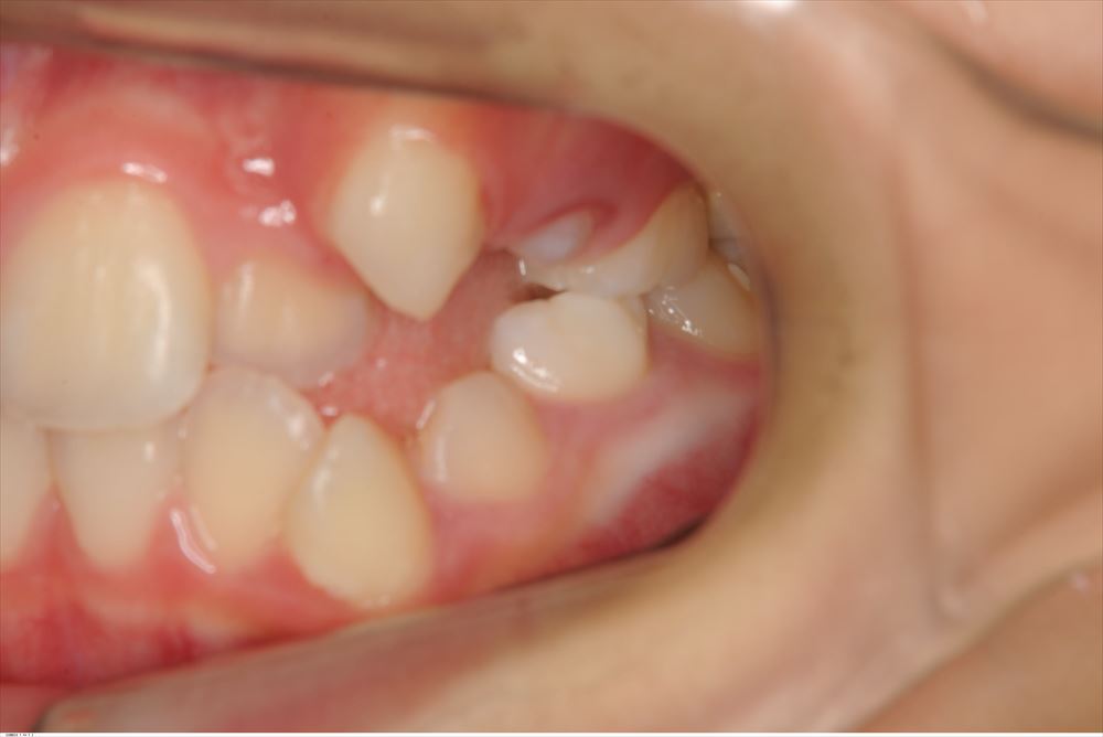
術前。あらま。

今日

リテーナー使ってねー。

 

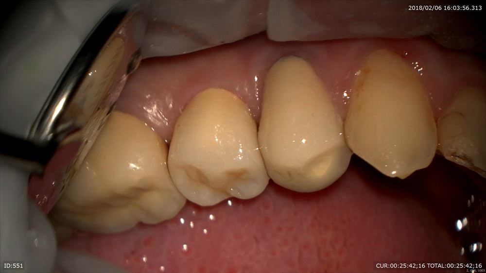
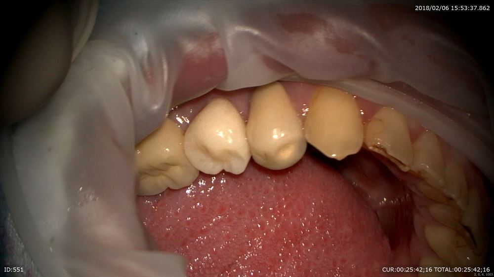
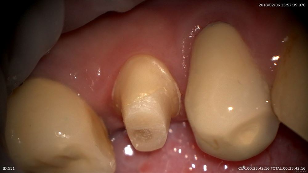
次のケースはハイブリットのセット

これは仮歯。仮歯入れない事はありません。歯茎の為。かみ合わせの為必須。

仮歯を外して

セット。喜んで頂けました。元々この方は中等度の歯周病でした。とても真面目に治療に参加して頂き歯周病の再発はありません。本当に感謝。次回PMTC!

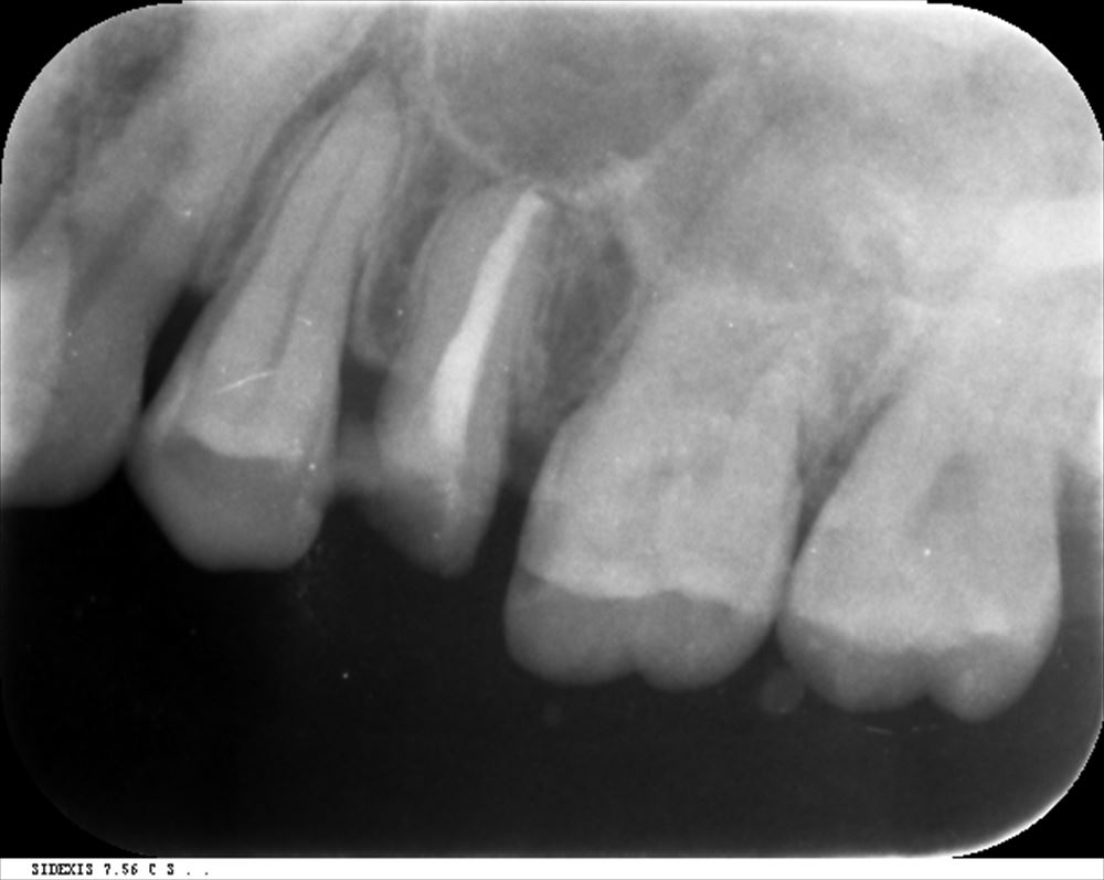
最後の御紹介は精密根管治療

今日は3回目

術前

根管内に綿栓

 

徹底的に綺麗にして根管充填。シーラーはMTAで工夫。

術前はこんな。上顎洞まで腫れていました。

本日。良かったです!!嬉しい!!

この様に当院では妥協のない総合歯科治療で患者さまを救います。

八潮、三郷、草加で虫歯治療ならBiVi歯科・矯正歯科。

 

■ 他の記事を読む■

トップへ戻る