歯周病の低侵襲非外科治療(MINST)の効果
投稿日:2022年4月16日
カテゴリ:院長ブログ
こんにちは。今日は天気が良く気持ちいい1日ですね。
本日も歯周病の治療を中心に矯正治療のご相談等、1日全てのアポイントが埋まっております。
有難い限りです。
先日より、連載の様に歯周病の低侵襲非外科治療(MINST)の症例を載せさせて頂いております。
電話でも問合せが多いですので、情報を少しでもお見せして、歯周病は切らなくてもここまで治るという事をお伝えできればと思います。
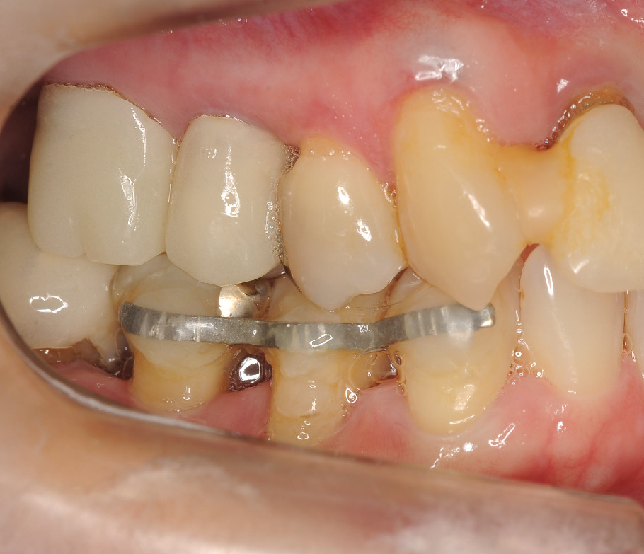
この方も、右下の歯がぐらつき、咬めない。。。との来院でした。
動揺が3度(上下運動します)でしたので、直ぐに応急処置でワイヤーで固定します。

レントゲンを見ると

とくに右下4番(一番右の歯)が根の先まで骨が溶けています。歯周ポケットは8mm
徹底的な歯ブラシ指導の後MINSTの処置を行いました。
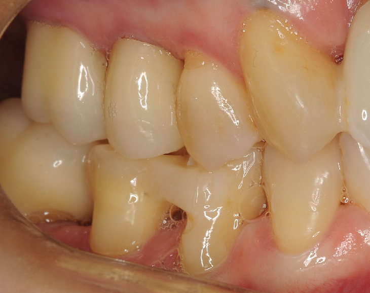
術後約1年


見て下さい!骨が再生しています。歯周ポケットも3mmまで回復。
患者さまと一緒に喜びました!!
勿論この治療、歯茎を切っていません。再生材料も使っておりません。
根の表面の顕微鏡によるクリーニングと血餅を安定させただけです。
埼玉、草加、三郷、八潮で歯周病専門医治療ならBiVi歯科・矯正歯科
■ 他の記事を読む■
