歯周病の低侵襲非外科治療(MINST)の症例
投稿日:2022年4月16日
カテゴリ:院長ブログ
こんにちは。院長の武川です。
先日の歯周病の低侵襲非外科治療(MINST)の症例に続いて、ご紹介したいと思います。
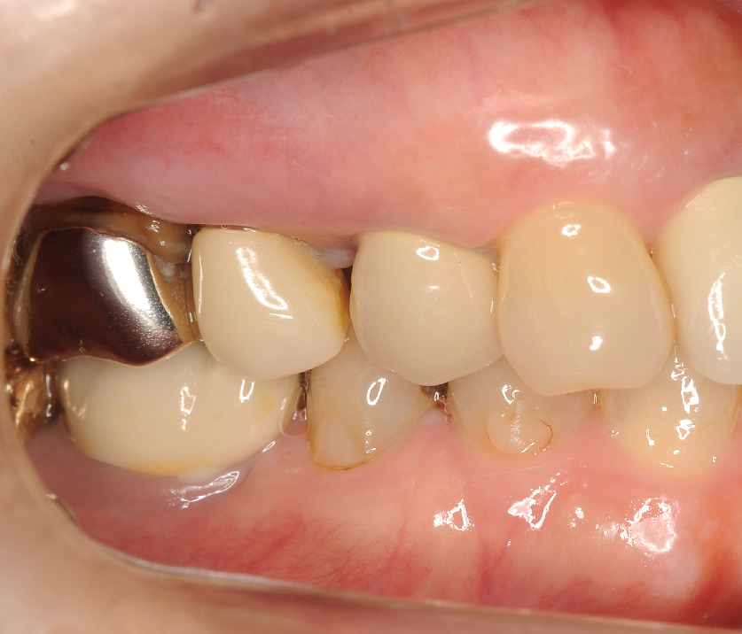
この方は50代女性で右側で咬めない事がお困りで来院されました。
確かにグラグラ。。。

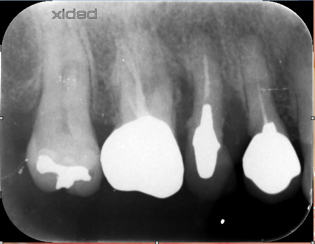
レントゲンを見ると、

右上の4.5.6番の骨が3分の2位無くなっている状態で重症の歯周病でした。
歯周ポケットも7mm程ありました。
MINSTを丁寧に行い、患者さまからは、「全く痛くなく良かった」と言って頂けました。嬉しい!!
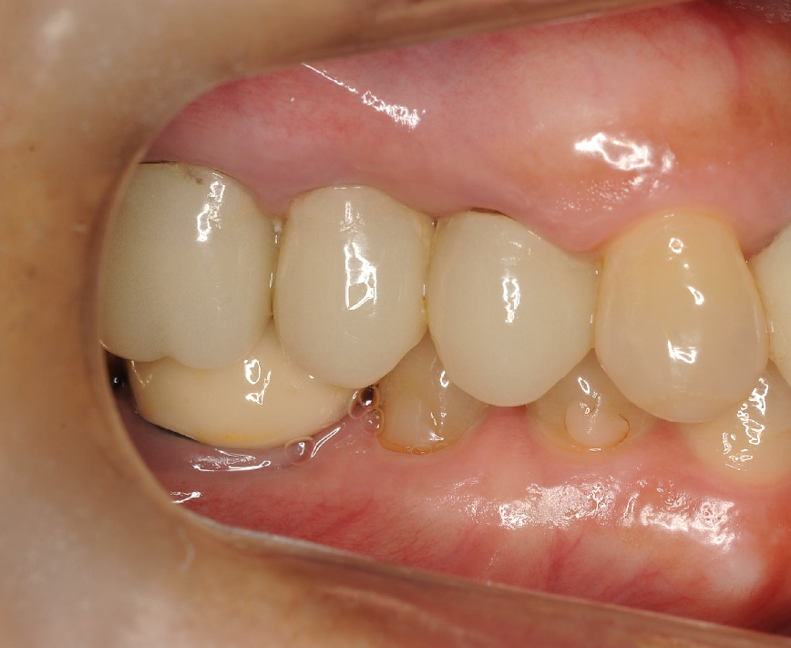
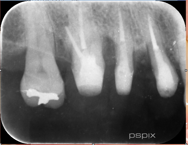
そして1年後

まだ、仮歯の状態ですが

骨の再生が見られます!
歯の揺れも落ち着きました。歯周ポケットも3mmまで回復。
患者さまと一緒に喜びました。有難いです!
自分の歯で一生涯食べたいですものね。
埼玉、三郷、草加、八潮で歯周病専門医治療ならBiVi歯科・矯正歯科
■ 他の記事を読む■
