一日一生
投稿日:2018年2月11日
カテゴリ:院長ブログ
「一日一生」
この言葉好きです。今日が人生最後の歯科医師人生と思って1日頑張る。
そう捉えています。当院で治療している約9割の方は他院で治らなかった、または他院で説明がなく不信感が多く転院されてきた「セカンドオピニオン」の患者さまです。その人達の中には今日の患者さまの様に泣いて喜んで頂ける患者さまもいらっしゃいます。実は私の妻が以前ある病院で誤診をされた事があり私は一週間生きた心地がしない時期がありました。約2年前の事です。(勿論訴えたりしていません。笑)
その時に医師の友達に相談したり、必死に病院を探しまわり何とかならないか毎日考えていました。東京の本郷の個人病院で詳しく見て頂き問題ない事を丁寧に先生に画像で見せて頂き
「本当に良かった」と妻と二人で涙した事を覚えています。
その時の気持ちは今でも覚えています。
その個人病院は全国から患者さまがいらっしゃいます。もし大腸、胃でお困りなら絶対ココ!

このこだわりの部分が歯科医師として必要な物歯科医院に必要な部分な気がしています。

だから私は自分の経験によりセカンドオピニオンで当院にいらっしゃる人の気持ちが手に取るように理解できます。
セカンドオピニオンでいらっっしゃる人の気持ちに寄り添い必ず良い結果を出す
その為の仕組み作りに2年前から取り組んできました。スタッフにも何度も伝え時には叱り、私の目が届くように病院を小さくし、セカンドオピニオンや本当に歯に困っている人を救えるよう毎日勉強を重ねました。今では今日の患者さまの様に私みたいな人間を名医と呼んで頂けるようになりました。(お世辞でも嬉しいです)でも医療に携わる人はこうでないといけません。最近(昨日も)歯科医師、歯科衛生士の見学、面接が非常に多いです。ありがたいです。今年に入ってから10件以上あるかもしれません。僕はその人たちの採用基準をここに置いてチエックしています。採用基準は厳しい程良いと思っています。今年はまだ歯科医師も歯科衛生士も合格者はいませんが。。。
でも入社してから厳しいより内定までが厳しくて入社してから楽しい方が良いでしょ?そうすると入社してから怒る必要が無くなります。
入社するのは簡単で入社したら厳しい(怒られる、残業多い、聞いていた話と違う、など)は嫌だと思いませんか?
私が自分の妻の件で思ったのは
「医者ってどこ行ってもあまり変わらないでしょ」ってそれまでは思っていましたが
「全然違う!」
そうなんです医者も歯医者も1件1件全然違います。良く調べたほうが良いです。
さて今日の患者さま
他院でリーマー破折。器具が残っています。
CTでも確認 ML根

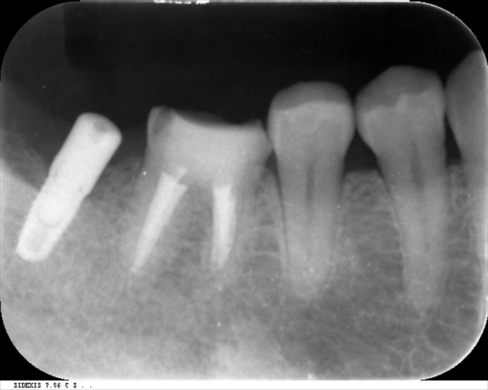
取れました!!今日根管充填。症状もないです。


後ろのインプラントは私が去年埋入。同時に上部を作っていけそうです。歯の保存をまず考えています。
神経保存のケース
右上5番神経が見えるほどの虫歯


MTAで保存して11月から症状を確認し本日修復。きょうから咬めます!

銀歯虫歯の方。
銀歯の中は
こうなっています。
これもマイクロスコープを使用し無痛で感染除去 MTAで

これで型とり。大丈夫!!
この方は精密根管治療でこの右下の腫れが


今日まで3回根管綺麗になりました。
根管充填

腫れもなくなり。本当に笑顔が戻りましたね!!

この様に当院では歯の保存に特化し診療を行っています。埼玉、八潮、三郷、草加で削らない治療ならBiVi歯科・矯正歯科まで。
■ 他の記事を読む■
