メンテナンスは重要
投稿日:2018年2月13日
カテゴリ:院長ブログ
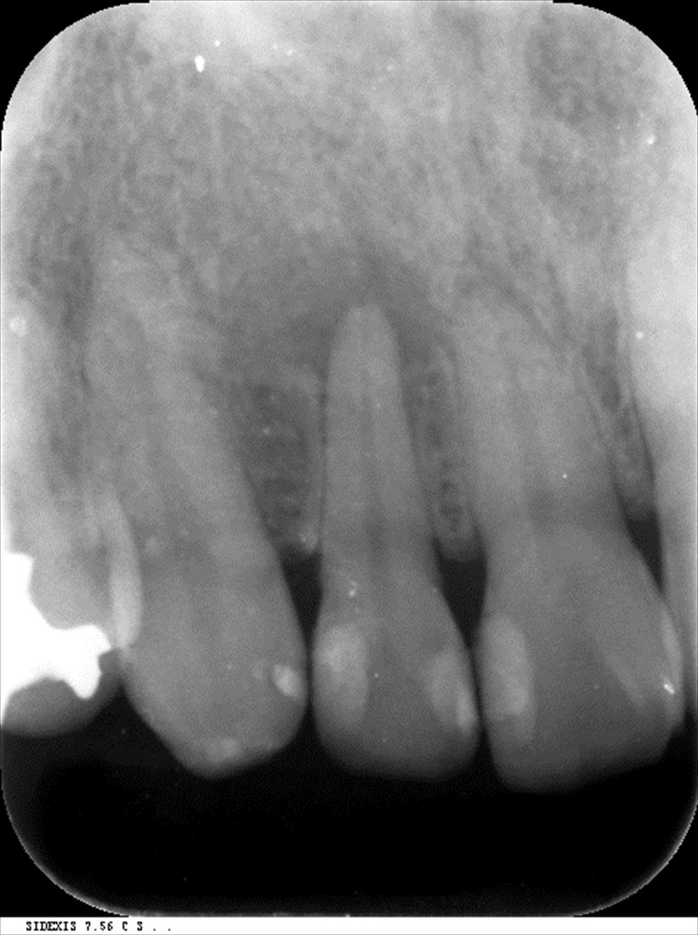
こんにちは。院長の武川です。メンテナンス中に発覚!
右上2番神経死んでる。。。

ラバーダム
綺麗に
2回目で根管充填。症状もなくなりました。


この方は精密根管治療の方。1回目
歯茎がやはり膿んでいます。虫歯って放っておくと大変な事になります。ここまで進行すると骨から飛び出してきます。匂いの原因になる事も。

細菌だらけ

無痛治療
お薬をいれて終了。
2回で治療も終わります。
この様に当院では精密治療を行い患者さまのお悩みを解決しています。埼玉、八潮。草加、三郷でメンテナンスならBiVi歯科・矯正歯科まで。
■ 他の記事を読む■
