1回の治療で十分治る。
投稿日:2018年7月3日
カテゴリ:院長ブログ
こんにちは。院長の武川です。最近はブログを書けていなくてすみません。この2ヶ月間、明日の学会発表を控え毎日そして休みをすべて削り、診療後に勉強とスライドを作っていました。
やっと終わった。明日は頑張ります。表参道で勉強してきます。
大きな学会などで発表すると大体はその分野の重鎮達に叩かれます。でももう慣れました。しかもそのおかげで上手くなりました!
私は歯科医になって直ぐに
「誰もやっていない事をしたい」
と思うようになりました。世界をみればインターディスプリナリーアプローチと言って各分野の専門医が協力して治療をします。日本でもそれを実践して上手くいっている先生方もいらっしゃいます。でもこのインターディスプリナリーアプローチは
「国の制度」が深く関わっており
日本にはその制度がないどころか保険制度が基本です。だから機能している医院はほぼないです。
だから私はすべての分野を80点以上取れるトレーニングをこの14年毎日してきました。矯正に関しては本当に難しかったので何度も諦めようとしましたし、何度もその分野の重鎮に叩かれ潰されそうになりました。良いのか悪いのか叩かれれば叩かれるほど燃えるタイプでめちゃくちゃ勉強しました。そして最近自分で上手くなった事にきずきました。継続は力なりと良く言ったものです。
諦めなくて本当に良かった。そんな発表を明日してきます。
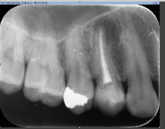
今日も難しいケースをマイクロスコープで治療し良好な結果を得ています。
セカンドオピニオンで来たイケメンな男性。
「他院で歯根のう胞と言われ不安」抜歯と言われ当院へ。
歯科ドックでしっかり調べカウンセリング。
マイクロエンドで精密治療をしました。
こんなに腫れて違和感がすごい。との事。顔を洗う時にも気になる位でした。
基本に忠実に

無痛で。細菌除去。
本日↓
腫れと膿が消えました!!
1回で治り根管充填
術前
術後
無痛で1回で終わるのが理想です!!
誰もやっていない事をできているのかと聞かれたらまだこのレベルは沢山いるだろうけど必ずその領域まで歯科医師人生をかけ進んでいきます!!
埼玉、八潮、草加、三郷で根管治療ならBiVi歯科・矯正歯科
■ 他の記事を読む■
