矯正治療のスピード
投稿日:2018年6月28日
カテゴリ:院長ブログ
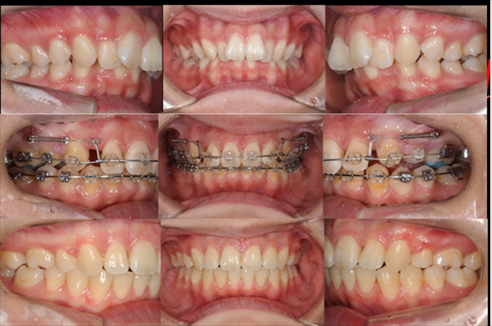
こんにちは。院長の武川です。矯正治療は今まで2年半位が抜歯矯正の平均終了期間でした。
最近の私の矯正はデーモンブラケットとマイクロスコープとTAD(矯正用インプラント)を使用することで期間短縮や痛みの緩和にかなり変革がおきています。
今日もこの方も1年で
もうこのスペースのみ
奥歯や犬歯関係も良好
コイルで

前歯で麺が切れると喜んでいました!!
このようにかみ合わせが綺麗になります。

矯正治療好きだから上手くなる。
いつも御指導頂いている武内先生に感謝です。
埼玉、八潮、草加、三郷で矯正治療はBiVi歯科・矯正歯科
■ 他の記事を読む■
