本日のマイクロスコープ治療(矯正)
投稿日:2018年1月20日
カテゴリ:院長ブログ
こんにちは。院長の武川です.明後日は雪だとか。。。
本日は土曜日なので矯正が多い1日。
矯正の御紹介。この方は親子でいらっしゃって頂き娘さん(非常に綺麗な女の子です)のケース。お父様も素晴らしいお人柄。
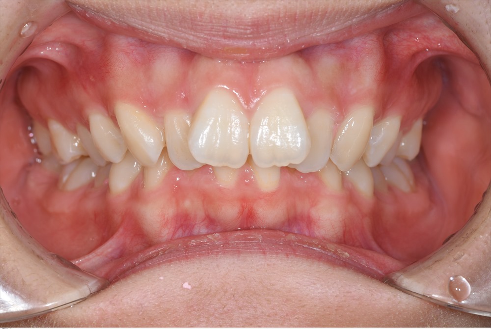
主訴は前歯のガタガタが気になる。お父様と一緒に約2年前来院されました。



歯科ドック(矯正編)を行い診断を行います。
問題点は歯並びだけではなく骨格的にも。パターンを様々考えお顔やかみ合わせ骨など総合的にみてベストな治療法を検討。そしてカウンセリング。このパターンは虫歯や歯周病で困っている人と一緒ですね、
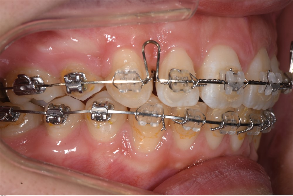
このようにかみ合わせの深いケースは矯正期間も長くなります。下の前歯に矯正装置が付かないくらい咬みこんでいます。こういうケースはいかにかみ合わせを上げていけるかがKEYになります。非常に難易度の高い治療です。
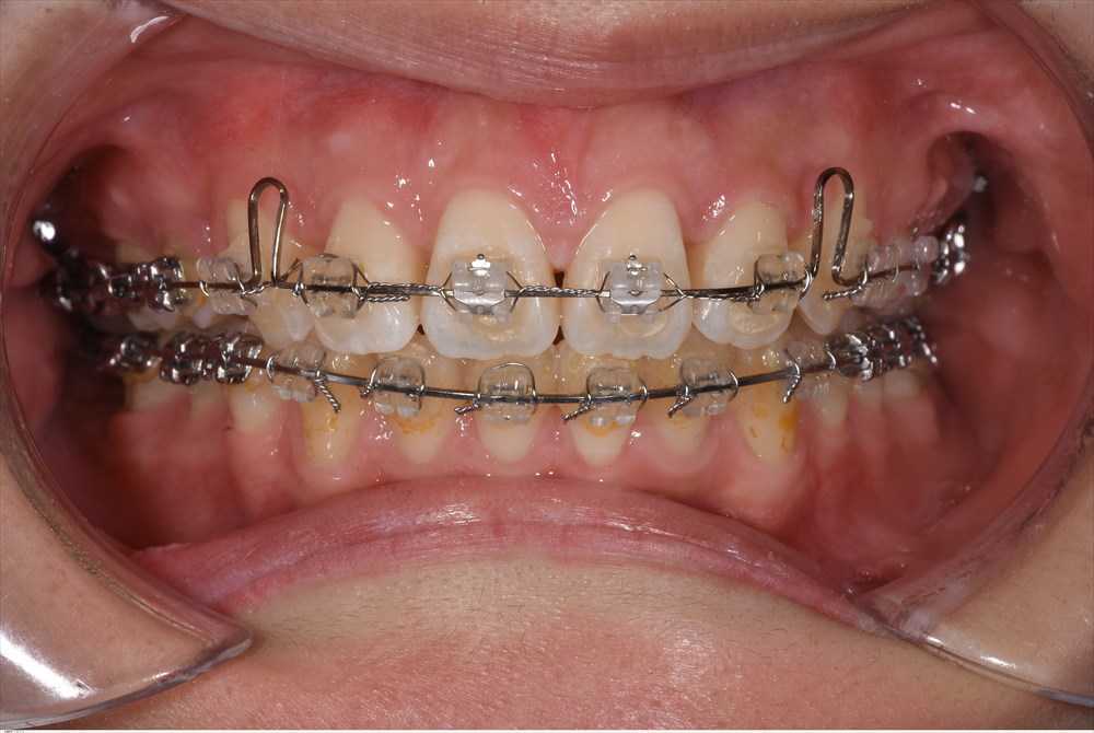
マイクロスコープを利用し結紮の仕方やワイヤーのトルクコントロールに変化させます。
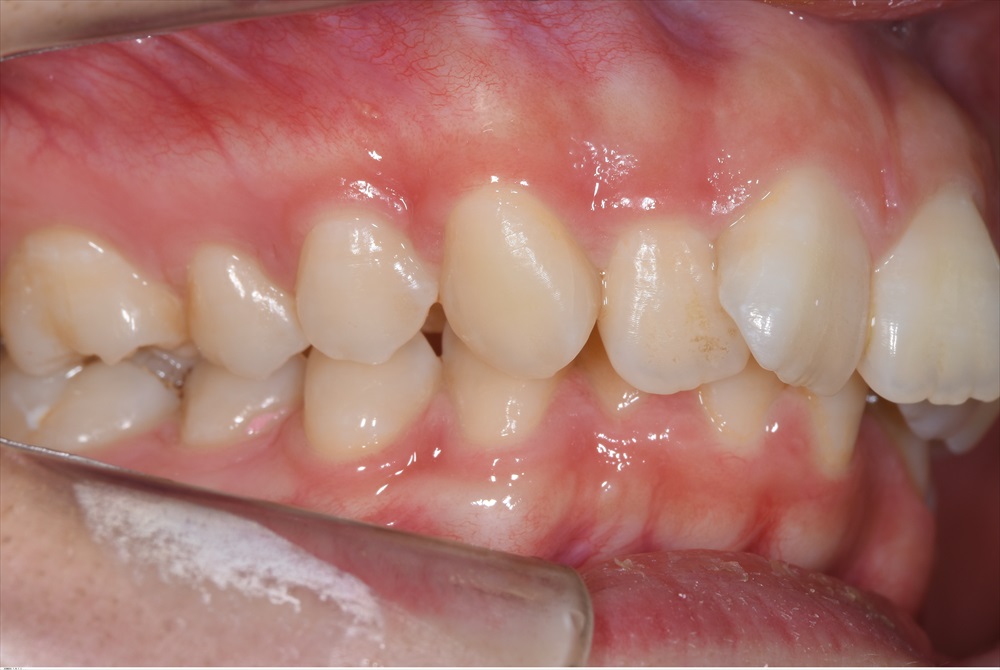
下記写真は抜歯したスペースのクローズステージ
マイクロスコープで記録しているので変化が患者さまもわかります。
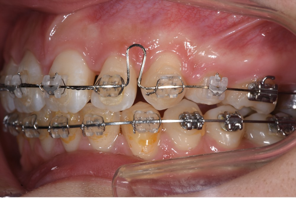
今日から最終ステージ 咬みあわせの確立へ。結紮にも力が。


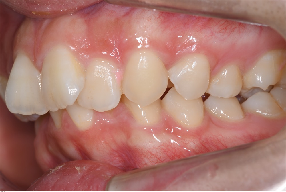
最終ステージに入るときには再評価してどこに問題がのこっているか精査。

うん。左上3.5のかみ合わせが甘い。



新しいブラケットを接着して改善します。

きっちり噛んでお顔も綺麗に!
春には外せそうです。嬉しい!今でも十分綺麗な方ですがもっと美人になりますね。
この様に当院ではかみ合わせも考慮した矯正治療を行います。
埼玉、八潮、草加、三郷で矯正治療ならBiVi歯科・矯正歯科まで。
■ 他の記事を読む■
