本日のマイクロスコープ治療(根管治療、虫歯編)
投稿日:2018年1月22日
カテゴリ:院長ブログ
こんにちは。院長の武川です。今日は大雪で寒いですね。こんな天候なのに来院して頂いた患者さまには頭が上がりません。本当にありがとうございます。
さて本日も精密根管治療が多い1日。
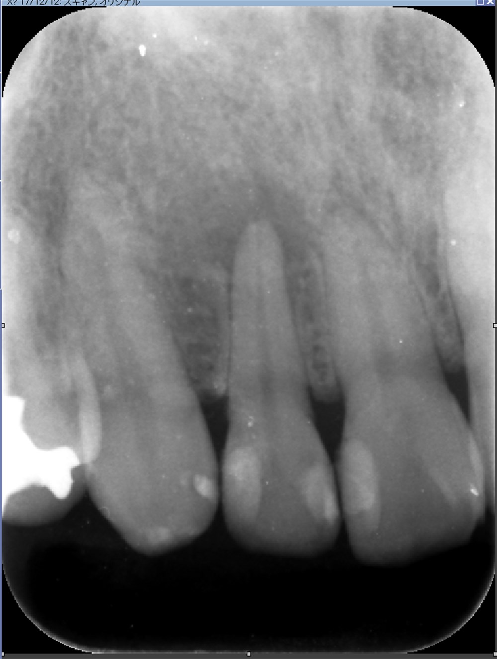
1ケース目
前歯の違和感、はれた感じがする。右上2何かあるぞ。
歯科ドックで精密検査 骨に穴があいている!!!
詳しく原因を調べます。
根尖性周囲炎でした。
ここまで骨がないとは。精密検査だからわかる事です。
本日から精密根管治療スタート。ラバーダムをして
根管を明示。ストレートラインアクセス
感染が見えてきました


術前:右 術後:左 綺麗になった!!これで保存ができます!!次回で根管治療終了。2回で終了

次はむし歯
銀歯むし歯の恐ろしさ。。。
銀歯が取れたで来院。歯科ドックで歯茎の中までむし歯と診断しました。

丁寧に。深い。歯茎の中まで。銀歯の恐ろしさ。。

ここで電気メス!(無痛)
こんな器具があると無痛で止血と形成が可能です。
コンポジットでビルドアップ
これで精密な型をとります。患者さまにもこの画像をしっかり説明!安心の治療。
最後のご紹介は精密根管治療2回目。もう2回目ですでに綺麗。

根管内を観察。

問題ないので次回で終了。 ツルツル~
この様に当院ではすべての治療にマイクロスコープを使用することで精密で無痛な治療が可能です。
埼玉、八潮、三郷、草加でむし歯治療ならBiVi歯科・矯正歯科まで。
■ 他の記事を読む■
