矯正の症例
投稿日:2019年12月25日
カテゴリ:院長ブログ
こんにちは。院長の武川です。
先日矯正の患者さまが装置を外しましたのでご覧いただきます。
お蔭様で矯正の患者さまが多く充実した毎日を過ごしております。
来年開かれる国際歯科大会では矯正の講演依頼を頂き有難い限りです。
さて
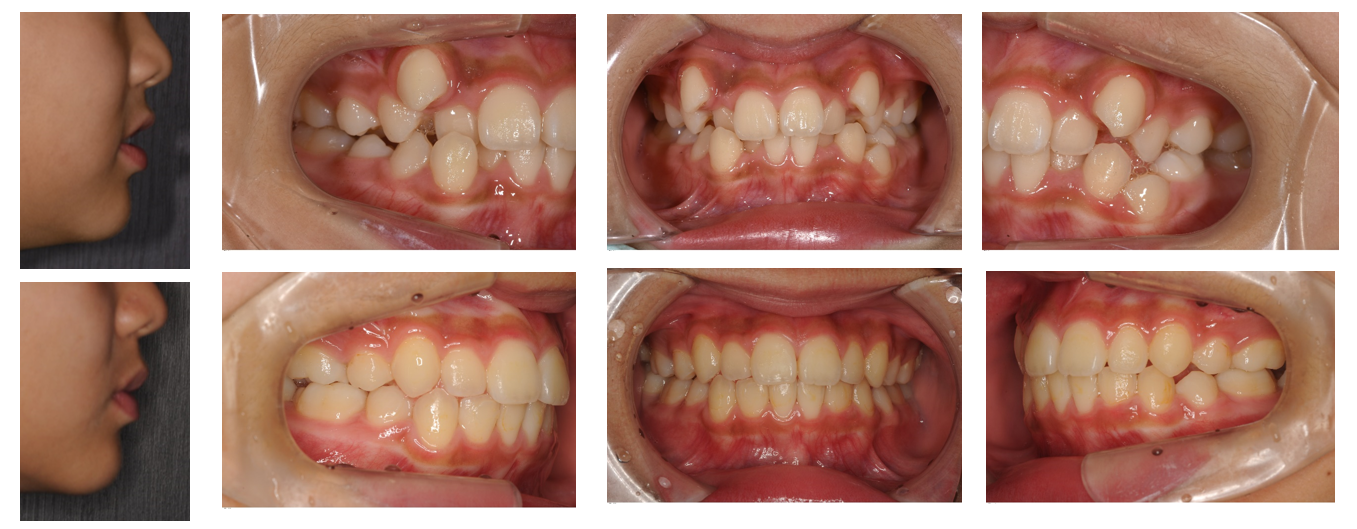
10代の女性です。歯のでこぼこを気にされて来院されました。顎の大きさに対して歯の大きさの不調和が顕著であった事と精密検査の結果、第一小臼歯を上下抜歯して治療を行いました。歯並びが綺麗になっただけでなく口元がご覧の通りスッキリしてお顔が美しくなりました。友達からも顔が小さくなったと褒められるそうです。歯ブラシもしやすくここからはクリーニングとメンテナンスで診ていきます。デーモン矯正を使用することで弱い力を利用し矯正のリスクである歯茎下がりも回避出来ました。
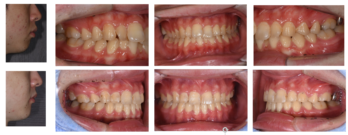
こちらは20代の男性です。歯のでこぼこと出っ歯を気にされて来院されました。分析の結果、でこぼこの度合いが大きく前歯の位置が出ていた為第一小臼歯を上下抜歯して治療を行いました。かみ合わせが良くなり顎の痛みなく快適に毎日過ごしているとの事でした。
治療も痛くなかったと喜ばれていて大変ご満足を頂いた患者さまです。容姿が良くなり以前より明るくなりました。
非常に喜んで頂き私までハッピーな気分になりました。
患者さまからクリスマスプレゼントを頂いたと思い矯正の修行も変わらず頑張ります!!
メリークリスマス!!
埼玉、八潮、草加、三郷で矯正治療ならBiVi歯科・矯正歯科
■ 他の記事を読む■
