前歯を綺麗にしたい患者様(審美治療)
投稿日:2020年1月11日
カテゴリ:院長ブログ
あけましておめでとうございます。
院長の武川です。
今年も全力でいきたいと思います。
今年は本当にありがたい事に歯科医師向けの講演依頼を多数受けております。少しでも先生方にお役に立てればと思います。
さて本日午前中の審美治療を希望された患者さまのお話です。
初診

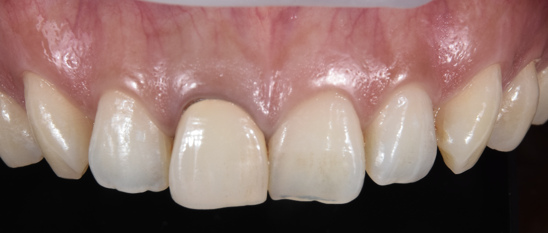
上の前歯(右)のセラミックを綺麗にしたいとの事で来院されました。
確かに色、形、長さ、明度、テクスチャーすべて合っていません。
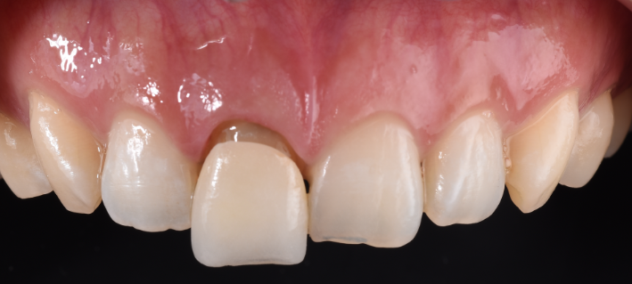
ここからwax upを行い理想的な歯の形態や削る量を決めます。
削る量が決まり
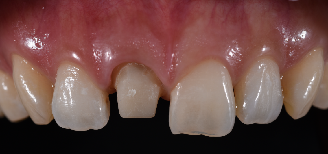
このシングルセントラル(前歯1本の色合わせ)は1番難しいとされていますので慎重に色を見ます。
今日です。間中が立ち合い、その場で築盛。
当院では必ずこの工程を踏みます。
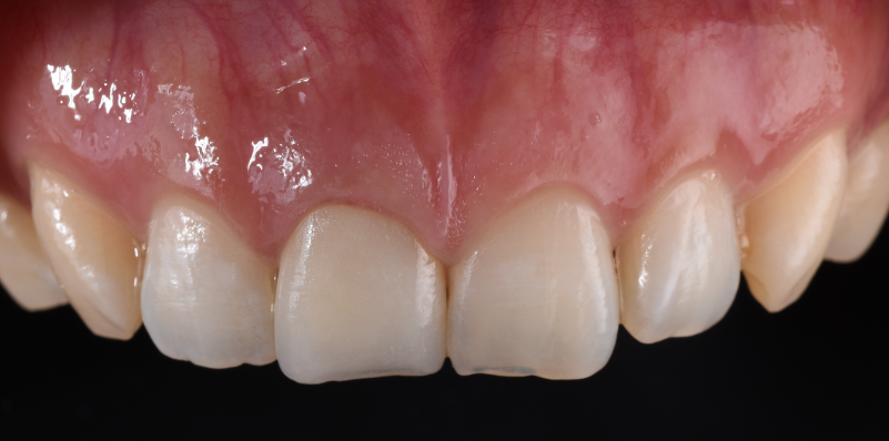
さあ どうか
患者さまに喜んで頂けました!!
術前
このように手間はかかりますが患者さまの笑顔をより綺麗にすることができます。
埼玉、八潮、草加、三郷で審美治療ならBiVi歯科・矯正歯科
■ 他の記事を読む■
