歯周病の低侵襲非外科治療(MINST)の効果がすごい!
こんにちは。院長の武川です。
新年度になりました。
最近では、有難い事に、県外の遠方より歯周病専門医治療を求めご来院頂く事が多くなり、アポイントがとり辛くなってきておりました。申し訳ございません。しかし、4月から歯周病の専門医の和田先生も入社し、全国的にも稀な歯周病の専門医が2人在籍する施設になりました。和田先生には感謝です!とても上手な先生です。
当院の治療の一番の特徴は歯周病治療ですが、その中でも専門は、非外科治療(歯茎を切らない)になります。ひと昔前は、4mm以上の歯周ポケット(歯茎の溝)があった場合、盲目下では細菌の塊が見えない為歯茎を切ってアプローチを行っておりました。
しかし、近年、低侵襲非外科治療 Minimally Invasive Non surgical Therapy(MINST)が提案されました。この方法は歯周基本治療の一貫として行い,局所麻酔下で切開を一切加えず,歯肉溝からアクセスを行い,その狭い視野の弱点を補う為,手術用顕微鏡を用いて,繊細な超音波チップを用いミニキュレットを併用して丁寧なスケーリング,ルートプレーニングを行う手法であります。
手術用顕微鏡下でデブライドメントを行い,軟組織を優しく扱う事により,臨床的にもデンタルX線写真上にも,低侵襲外科療法と同様の効果がある事が報告されております。また,Nibali先生らはMINST後のX線写真上の骨縁下欠損が3mmを超える欠損の治癒を評価し,同様に臨床的及びX線写真上の優位な改善が観察されたと報告しています。平行してポケット内のデブライドメントの際,繊細な超音波チップやミニキュレットに加え,骨内欠損部の感染肉芽組織をEr:YAGレーザーを用いアブレーションする事で汚染除去を行い,骨欠損部の骨表面からの骨髄性出血を促す事で歯周組織再生に有利となる可能性が示されており、実際私もMINSTを始めて4年になりますが、その効果に驚く毎日です!!
とにかく、切らない、痛くない、組織が再生する!
そこで少しずつにはなりますが、50症例程ございます
ので、これからブログにも、UPしていきたいと思います。
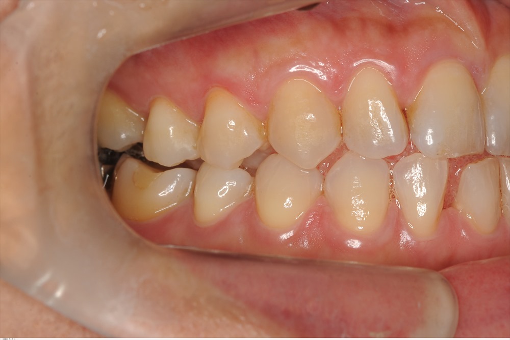
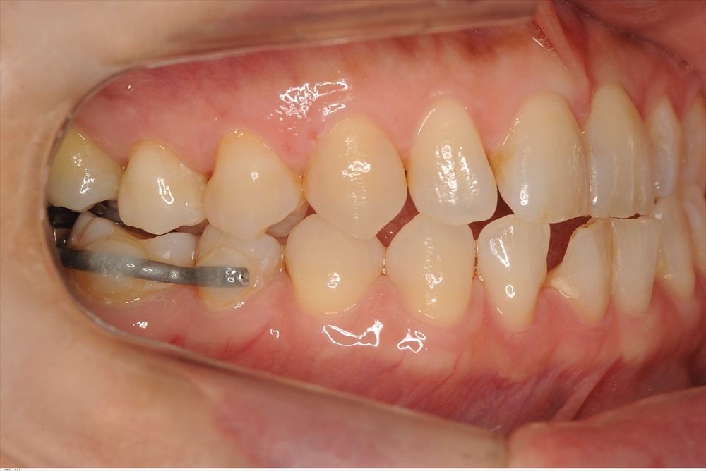
40代女性
右下6番の歯周病です。
今にも抜けそうな状態でしたが


術後1年でここまで回復


勿論、歯茎も切っていません、再生材料も一切使用しておりません。
体に優しい、切らない治療の時代が来ました!

埼玉、八潮、草加、三郷で歯周病治療ならBiVi歯科・矯正歯科
■ 他の記事を読む■
