スタッフに感謝!!
投稿日:2018年2月5日
カテゴリ:院長ブログ
こんにちは。院長の武川です。今日もすべての治療にマイクロスコープを使用し精密で無痛な治療を行いました。本日も精密根管治療が多かったなー。それにしても当院のスタッフに本当に感謝!の1日でした。
受付のNさん。いつも素晴らしい対応とおもてなし。
僕のアシスタントのHさんとSさん。とても明るくて僕の動きと癖をすべて先回り!笑顔が絶えない!
衛生士のNさん。僕の仕事がないくらい歯周初期治療が上手。まだ3年目!すごいね。
この様にスタッフに恵まれているから、この様な精密治療が毎日すべての患者さまで、できます。スタッフに恵まれていないと毎日マイクロスコープでなんか治療できません。
最近びっくりするのはこういう空気で仕事していると募集を積極的にかけてないのに衛生士さんや助手さんが見学、面接に来ます。嬉しい限り!今日も栄養士さん。明日は衛生士さん。ありがとうございます。でも今の当院のチームワークは過去最高です。まったく無駄な動きがありません。当院の仲間に入るには何度もテストがあって大変かもしれないけど乗り越えるとこんな空気になります!笑
さて仲間と行った精密根管治療の御紹介。
Aさん
今日が2回目イスムスの整理や根管形成の終盤。

うん。感染をしっかり色で分けて確認

確実に。マイクロエキスカ

イスムスに感染これはマイクロスコープでしか見えません。

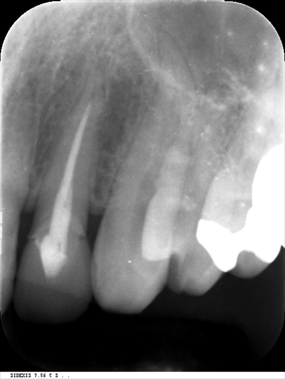
こんな状態から 右 ここまで2回 左 次回終了。
次のケース
前歯の根管治療。ラバーダム後
この裏にガッタパーチャがある。なかなかとれない。

格闘20分 取れた!!
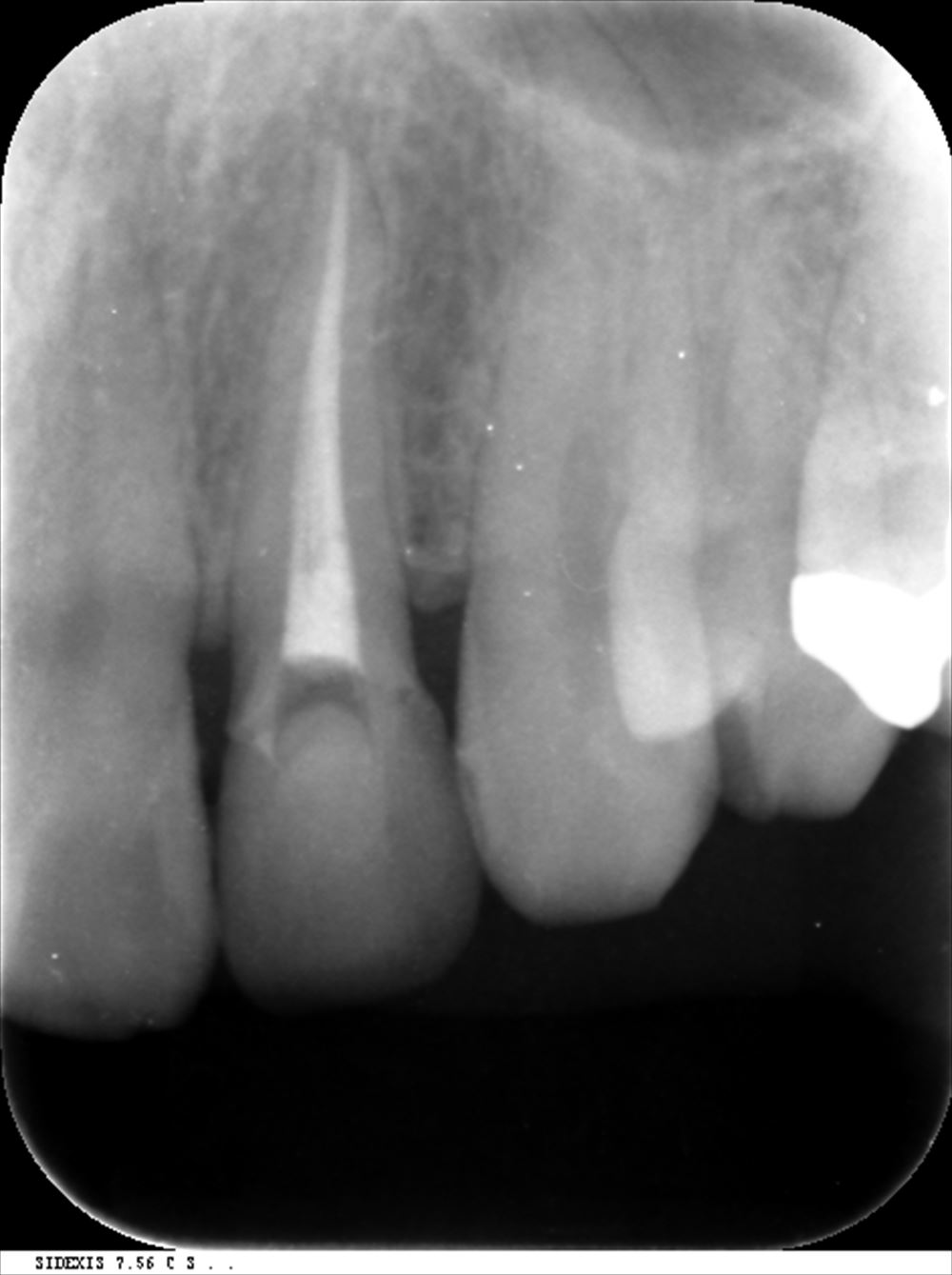
綺麗になったので根管充填

術前 根管充填が足りず感染がある。
術後 根の先まできっちり。

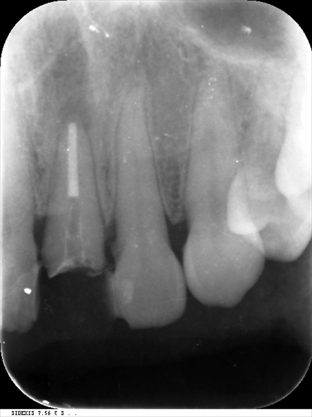
このケースは他院で説明がなく不安で当院に。歯科ドック後根管治療


根の先が見えるようにストレートラインアクセス
根管充填。3回で根管治療終了
術前

術後 症状も消えました!!

最後は矯正治療前準備
ブリッジを外して仮歯へ

外して

仮歯作成

手間をかけて

セット
この様に当院では素晴らしいスタッフのお蔭で毎日充実した精密治療ができています。
埼玉、八潮、草加、三郷で根管治療ならBiVi歯科・矯正歯科まで。
■ 他の記事を読む■
