抜歯宣告された歯を救えた症例
投稿日:2020年11月28日
カテゴリ:院長ブログ
こんにちは。寒くなってきましたね。
本日ご紹介する症例は去年の夏に初診で来院して頂いたダンディな方。
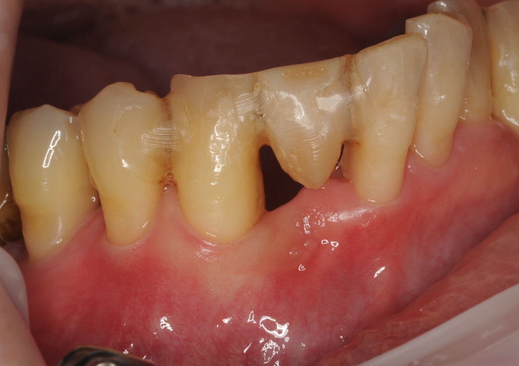
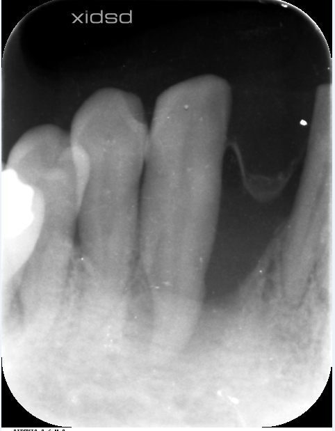
右下の犬歯の骨が完全に無くなっていました。

レントゲン
根尖まで骨がなく。。。。グラグラでした。
他院で抜歯と宣告され
「どうにかならないでしょうか?」
と悲しそうな顔をされていたのが印象的でした。
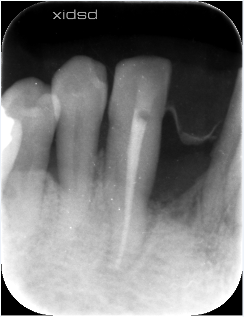
歯科ドックを行い、総合的な観点から判断し、歯周基本治療と
再生療法を行い

昨日の検査で数値が健康に戻りました!!
まだまだ美味しい物を自分の歯で咬めます。
コロナで悲しいニュースが多い中嬉しい1日でした!
埼玉、草加、三郷、八潮で歯周病専門医ならBiVi歯科・矯正歯科
■ 他の記事を読む■
