歯肉退縮に対して根本的な解決をした症例
投稿日:2020年11月16日
カテゴリ:院長ブログ
こんにちは。院長の武川です。寒くなってきましたね。
寒いといえば
皆様「歯ブラシをするとしみる!」といったご経験はありますか?
こういった場合大抵は歯肉が下がったりしておきている場合が多く、そこにプラスチックを詰めたり、薬をぬっても対症療法に過ぎず、また再発する事が多いのは確かです。
歯周病専門医の仕事の中で多いのはこういった場合に「根面被覆」というしみる原因を根本的に治療する歯肉移植があります。移植と聞くとびっくりするかもしれませんが、顕微鏡(マイクロスコープ)を用いますので切開はあまりいれません。
では今日の症例を
この方は、Iさん。
茨城からいらして頂いているとても上品な方です。
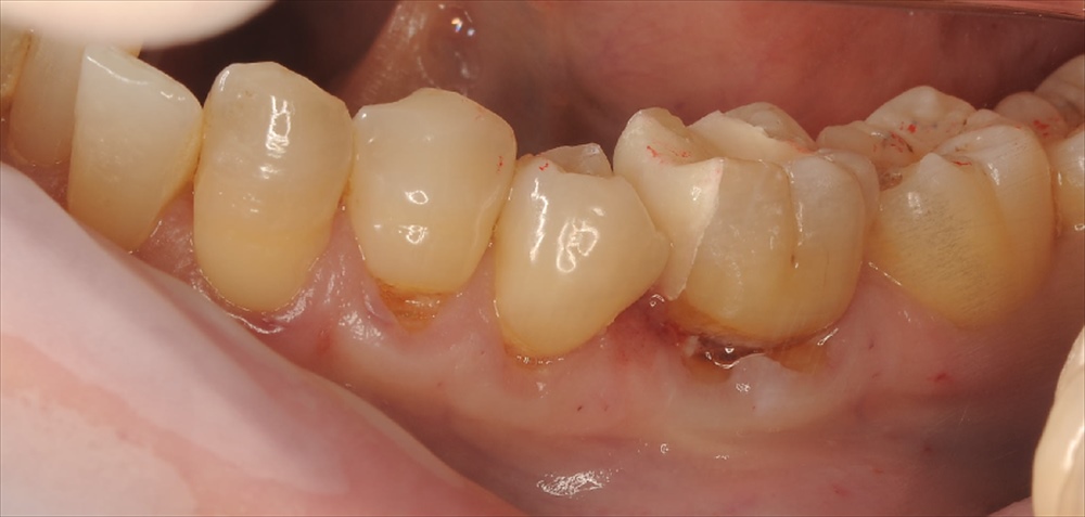
この様に左下の象牙質が露出し、何をしてもしみるとの事で①年前に来院されました。
カウンセリングをうけて頂き根面被覆を行いました。
結合組織移植を行い
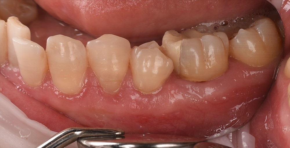
6ヶ月後
の本日
全くしみなくなったと笑顔でした、私も嬉しい!!ここからこの歯の仮歯を本物に変えていきます。
痛みの全くない手術だった事からとの嬉しいお言葉を頂き、上の治療もご希望されましたので
本日上の歯肉退縮の治療を行いました。
手術中寝ていました。☜これが一番私は嬉しい。痛くないから寝れるからです。
左上の3.4.5番に歯ブラシをあてると痛い
術前
手術後
また治療経過が楽しみですね!!
この様にマイクロサージェリーを行う事で、成功率を高め、痛みが起きにくい手術が可能です。
埼玉、八潮、草加、三郷で歯周病専門医ならBiVi歯科・矯正歯科
■ 他の記事を読む■
