他院で抜歯と言われた歯を再生治療で救った症例
投稿日:2020年10月16日
カテゴリ:院長ブログ
こんにちは。
院長の武川です。寒くなってきましたね。
本日の症例は 右上の前歯です。
この患者さまは他院で
「抜歯」
と言われ来院されました。
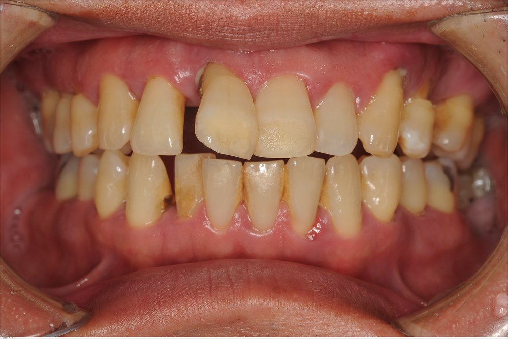
こちらが初診時の口腔内写真です。ほぼすべての歯茎から膿が出ていました。

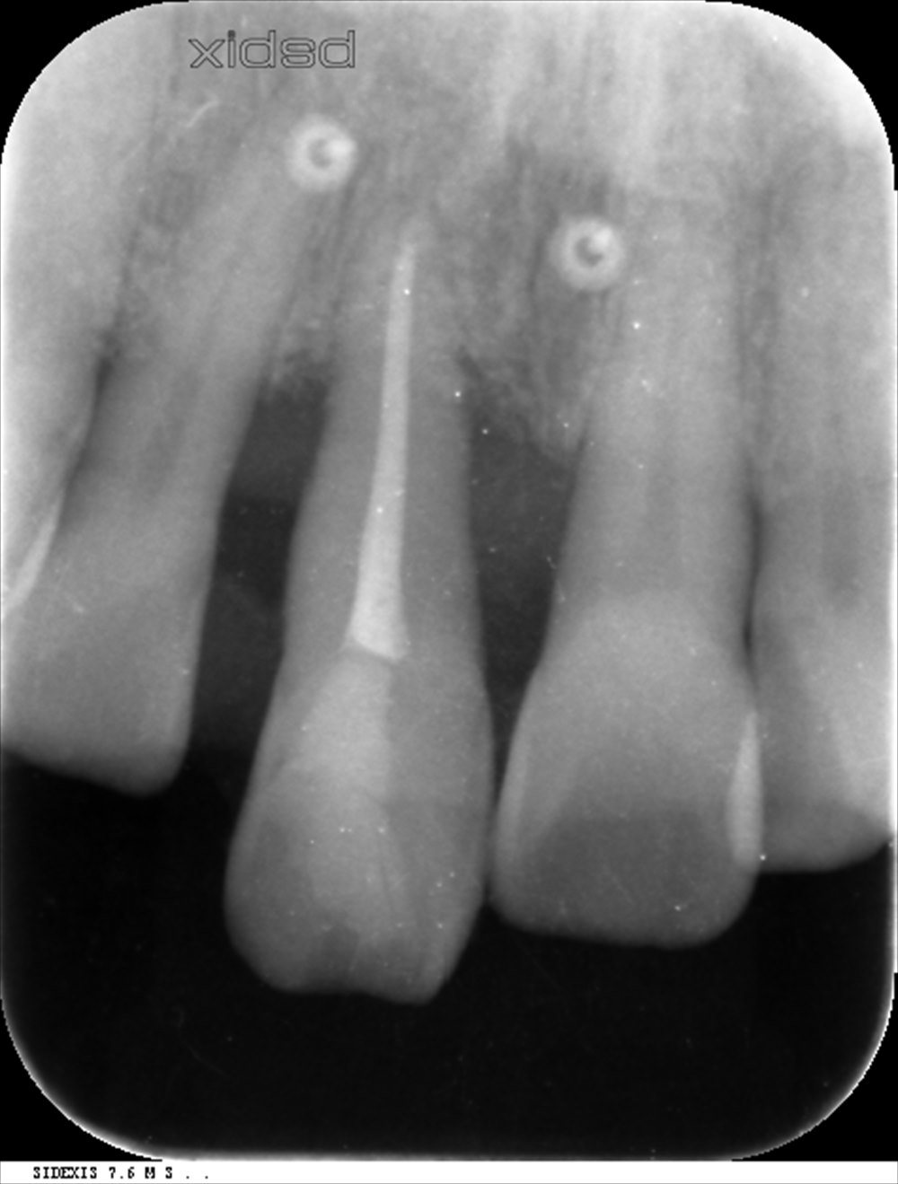
確かにこの歯、レントゲンを見ても前歯は抜けていました。
指で触るとグラグラしていました。
厳しい。。。。
まず通法通り、 歯科ドックを行い保存出来るかを患者さまに説明を行いました。
抜歯を行いブリッジを行う事を第一選択にしましたが
患者さまの強い要望で歯周再生治療を行いました。
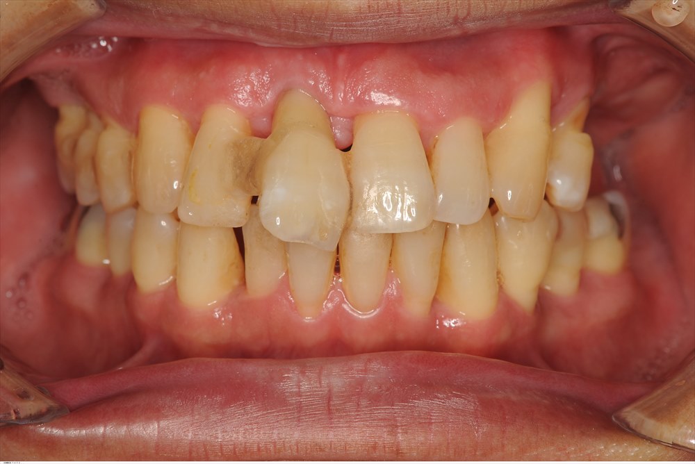
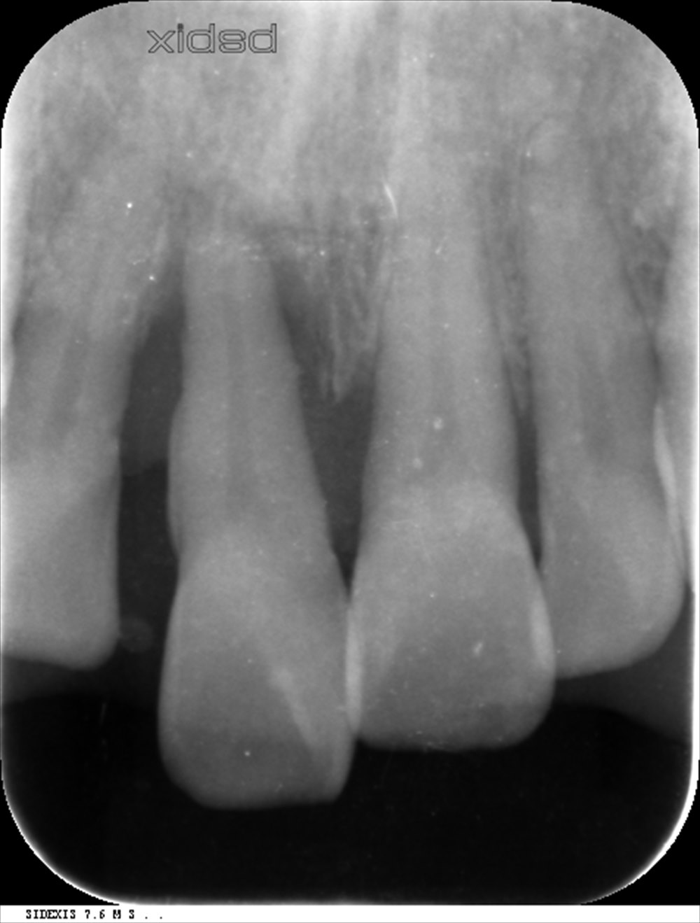
こちらが基本治療を行い、再生治療後6ヶ月のレントゲンです。
再生が認められます。

歯周ポケットも12mmから4mmに改善出血がない状態です。
ここから矯正治療が始まります。
まだ道は長いですが一緒に頑張りましょう!

| 治療期間 | 9ヵ月 |
|---|---|
| 治療回数 | 3回 |
| 治療費 | 16.5万円(税込) |
| この治療のリスク | ・術後しみる事があります |
埼玉、草加、三郷、八潮で歯周病治療ならBiVi歯科・矯正歯科まで。
■ 他の記事を読む■
