骨の再生が外科をせずレーザーのみで治癒した症例
投稿日:2020年10月16日
カテゴリ:院長ブログ
こんにちは。院長の武川です。
歯周病治療は歯科用顕微鏡の普及によって、拡大視野下での歯周外科治療が行われるようになりました。
2007年にCortellini & TonettiがMIST (minimally invasive surgical technique)を報告してから、骨内欠損に対する歯周外科でも用いられるようになり、拡大視野を用いて最小の切開剝離のもとで治療を行うことにより、
「血餅を安定させる」
為にどうするか。
という議論がが世界中の歯周病専門医の中で討論されております。
現在では
MINST(minimally invasive non surgical technique)と呼ばれる
歯茎を一切切らないで、歯肉溝からマイクロスコープでアプローチし組織のダメージを最小限にして血餅を安定させるという所まで来ております。
私もこの方法を4年程行っておりその効果には驚いております。
1つ症例です。
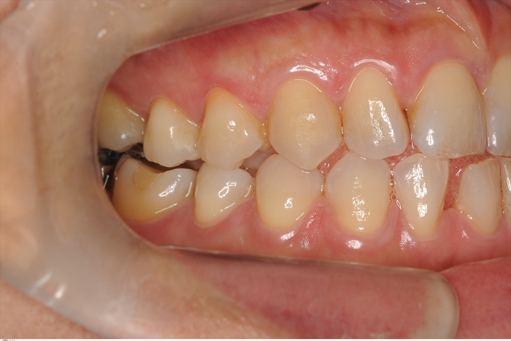
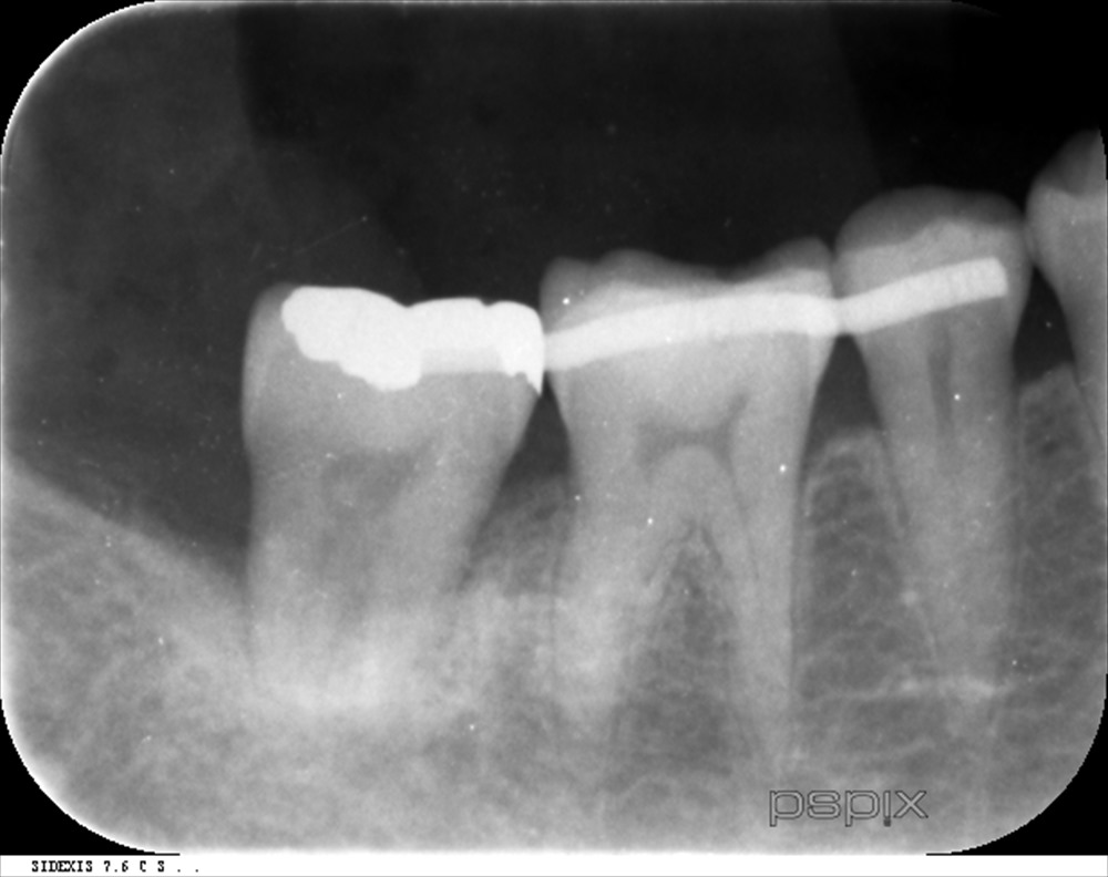
右下の一番奥の歯の後ろ側に10mmのポケットがありました。


この様な骨内欠損です。
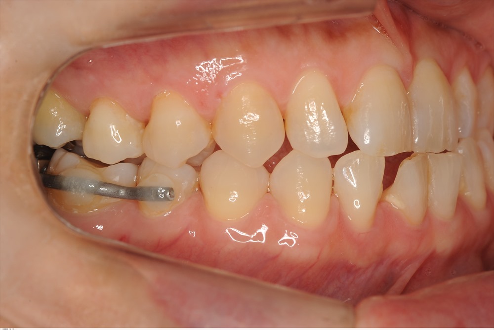
マイクロスコープとエルビウム・ヤグレーザーでデブライドメントと無毒化を図りました。
約4ヶ月


歯肉は安定し、骨様組織が出来ている様に見えます。この症例は一切、再生材料などを使用していません。
「血餅の安定しやすい状態」
を作っただけです。
歯周外科をしなくても治るケースが最近多いような気がします。
| 治療期間 | 3ヵ月 |
|---|---|
| 治療回数 | 1回 |
| 治療費 | この歯1本あたり:1.65万円(税込) |
| この治療のリスク | ・術後しみる事があります |
埼玉、八潮、草加、三郷で歯周病治療ならBiVi歯科・矯正歯科
■ 他の記事を読む■
