重度歯周病に矯正治療を行い歯を保存した症例
投稿日:2019年3月20日
カテゴリ:院長ブログ
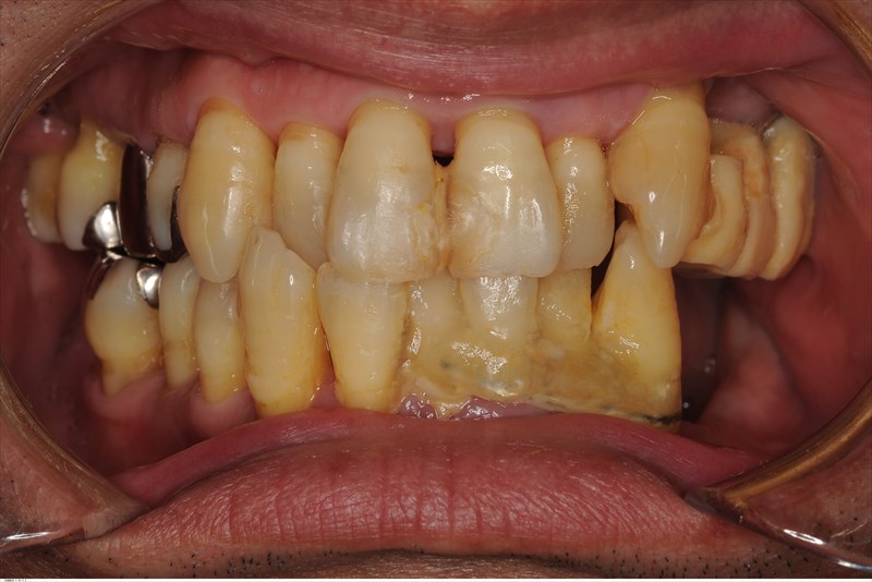
この症例は重度歯周病で約6年前、足立区の歯科医院の先生からの紹介でいらした患者さまです。
「武川先生いつも大変お世話になっております。この患者さまの御高診をお願い致します。すべての歯がグラグラで手の施しようがない状態です。本人はこの状態でも延命でも良いので歯を抜きたくないとおっしゃっております。歯周病の専門医の先生に診て頂きたくご紹介させて頂きます。」
と丁寧なお手紙を頂きました。
初診時のレントゲン
前の先生の苦労が分かります、歯の揺れが止められないのですべてボンドでくっつけてありました。前のF先生ありがとうございます。左下は歯がすでになく他の歯はすべてグラグラ。。
歯科ドックを行うと歯のポジション(力の逃げ道がない咬みあわせ)の問題が大きい事が分かりました。我々が扱う中等度~重度の歯周病の患者さまはこのように歯のポジションが悪く二次性咬合性外傷という状態になっている事が多くそのせいで負のスパイラルになり炎症が起き力の影響で歯が揺れ動きまた炎症が起き力がコントロールできない状態に。
私が歯周病と矯正の2つを専門に掲げている最大の理由はここにあります。軽度くらいの歯周病だと炎症のコントロールだけで済むケースもありますが
重症のほとんどは歯のポジションに問題を抱え、その歯周病に対しての矯正治療は矯正専門医が10代に行う矯正治療とは哲学が異なります。
これは歯周病専門医で明海大学歯周病学教授の申先生が僕が学生の時に授業で言った言葉です。ずっと覚えています。
だから申先生は
「歯周病専門医こそすべての分野の治療を高いレベルでできないといけない」
とおっしゃっていました。私はその頃から歯周病専門医を目指していました。だから大学を卒業してからは歯周病と矯正治療を同時に学べる東京医科歯科大の医局に入り腕を磨き、その後は日本歯周病学会指導医の先生の医院で研修(今年で9年)し、矯正は日大の矯正科で講師をしていた先生に5年教わりました。この様な貴重な経験をさせて頂く事で卒後から休みがなかったですが、今では「宝物」で先生方に感謝してもしきれません。
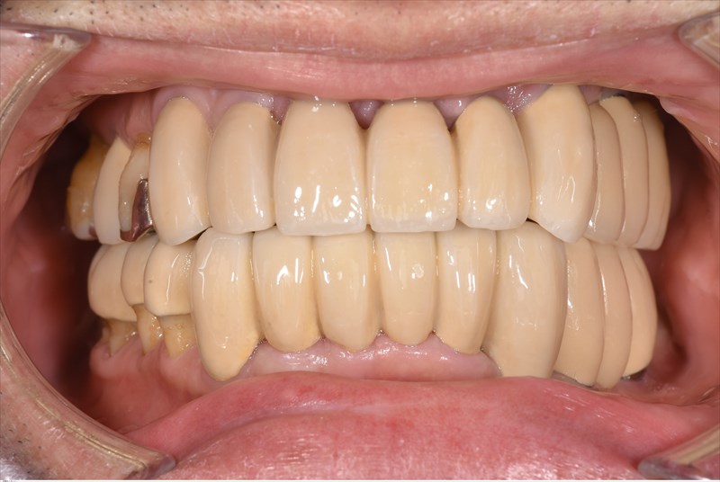
炎症のコントロールの後にこのように矯正治療を私が行い犬歯誘導ができるポジションまで歯の移動を弱い力で行います。
歯周病治療後3年経過の写真です
メンテナンスの効果もあり1本も歯を失っていません。
このように重症の歯周病には歯を保存する為の矯正治療が必須な場合が多いです。
| 治療期間 | 2年半 |
|---|---|
| 治療回数 | 25回 |
| 治療費 | 165万円(税込) |
| この治療のリスク | ・矯正治療の最初に少し違和感があります |
埼玉、八潮、草加、三郷で歯周病治療ならBiVi歯科・矯正歯科
■ 他の記事を読む■
