下の前歯の再生療法を行い10年問題ない症例
投稿日:2019年3月19日
カテゴリ:院長ブログ
この症例は歯周組織再生療法を行ってから約10年問題がない症例です。
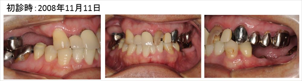
すべての仕事がそうであると思いますが、長く結果がでて初めて「仕事」だと思っています。この方は奥歯も初診時なく歯周病もあり歯並びにも問題を抱えていました。11年前の事です。
歯科ドックを行い多数の問題点を1つ1つ説明しました。
下の前歯はこの様に根の3分の1しか骨がなく厳しい状態でした。
歯周組織再生療法を無痛で行いこの様に骨の再生が認められます。
歯ブラシがしやすい様に私のもう1つの専門である矯正治療で並べます。
奥歯にはインプラントで硬いものもOK。

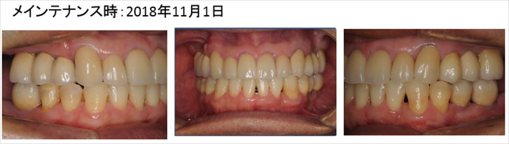
約10年問題はありません。
この様にしっかりとした治療戦略の元、歯周組織再生療法、インプラント、セルフライゲーションによる弱い力による歯周矯正治療を行う事で長期的に問題がおきない環境が獲得できています。
| 治療期間 | 2年半 |
|---|---|
| 治療回数 | 30回 |
| 治療費 | 385万円(税込) |
| この治療のリスク | ・歯周病治療の後に歯茎が下がる事があります |
埼玉、八潮、草加、三郷で歯周病治療ならBiVi歯科・矯正歯科。
■ 他の記事を読む■
