本日のマイクロスコープ治療(虫歯、精密根管治療)
投稿日:2018年1月12日
カテゴリ:院長ブログ
こんにちは。今日も全ての患者さまにマイクロスコープを使用し治療しました。今日は矯正が多かったですねー。Oさんは1年で矯正治療が終了。本日リテーナーの型を採りました。本人も喜んでおられました。反対咬合治りました!!嬉しい!
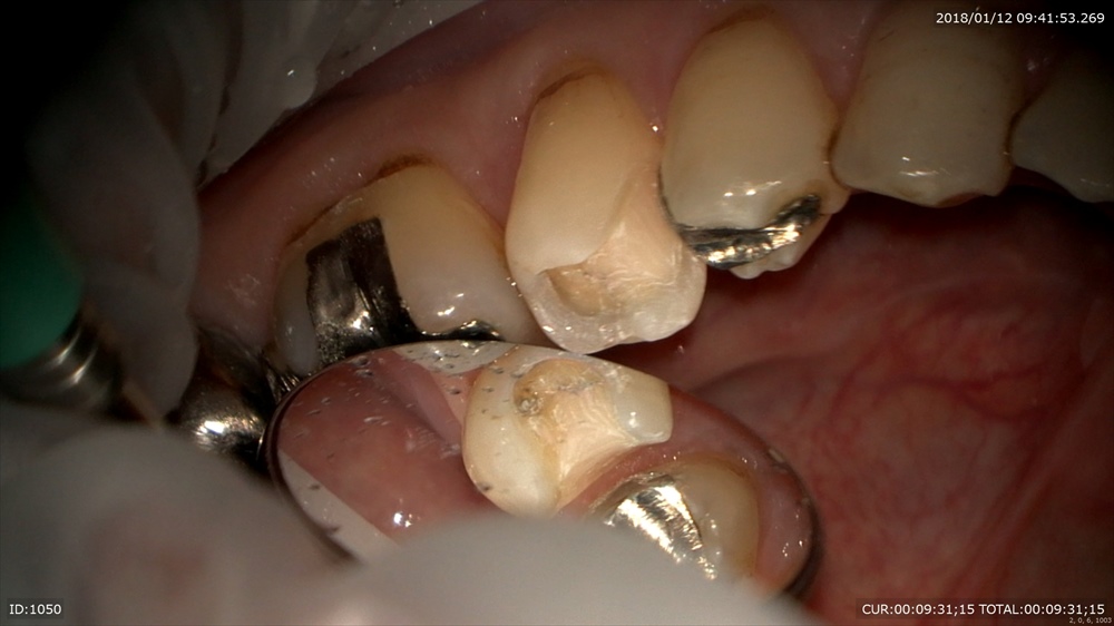
さてむし歯のケースから
「銀歯むし歯で銀歯がとれた」
一見なにもないように見えて
このセメントの下は。ほらむし歯
感染部位を染めて
マイクロスコープで無痛治療(麻酔していません)
むし歯自体は痛みを感じないのでマイクロスコープで治療を行うとそのような恩恵もあります!
治療中痛みがあるところは知覚があるところ=健康な歯質なのです

丁寧に
次回詰め物がはいります。
次は精密根管治療
2本同時に治療中
右が術前左が術後綺麗になってきました。

根管の先まで見えます。マイクロスコープでしか確認ができません。痛みがとれない。ばれが引かないなど必ず原因があるはずです。

次回最終的なお薬ですね。4回で終了。ちょっと回数かかりすぎです。反省。
このように当院では全ての治療にマイクロスコープを使用することで病状回復の確率を大きくしています。
埼玉、八潮、三郷、草加で根管治療などで症状がとれない。治療が長引くなどお悩みの方はBiVi歯科・矯正歯科まで。
■ 他の記事を読む■
