2018年スタート!今日のマイクロスコープ治療(精密根管治療、初診の方へのお話)
投稿日:2018年1月11日
カテゴリ:院長ブログ
こんにちは。本日から当院もスタート!長く充電させて頂いてありがとうございました。
今年も全ての治療にマイクロスコープを使用し精密で無痛な治療を行きたいと思います。本日は初診患者さまが2名。
お二人共「セカンドオピニオン」
詳しい内容は控えておきますが、内容は
治療したところ(根管治療)が治らない。
歯を抜くと言われ不安。
今どんな治療をしているのか。全く説明がない。衛生士さんが説明する。
後何回かかるのか。わからない。
値段は?
むし歯はあと何個残っていいるのか?
などでてくるでてくる。
当院は毎日のブログを見ていただけるとご理解いただけますが100%マイクロスコープで治療を行い、全て録画をしております。(患者さまにお渡しすることもございます)その録画で「本日の治療内容」をブログの様に丁寧に患者さまに対しプレゼンテーションを行っています。
精密治療だけの為のマイクロスコープではなく患者さまに説明を行う為の最新システムを導入しております。トヨタのクラウンが買えてしまいますが。。。。汗 投資。うん。投資。
今日の患者さまも当院のコンセプトをご理解いただき次回「歯科ドック」を行い診査して原因を探るところから始めます。必ずご要望にお答えできるよう準備しますね。
さて今日は2つ精密根管治療のご紹介
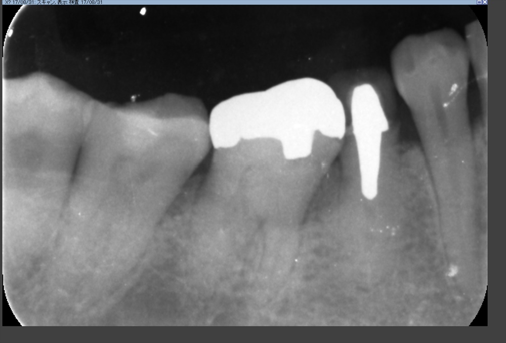
他院で根管治療中
これでは裏から感染してしまいます。

仮歯を先日作り直して
本日から精密根管治療
やはり。治らないのには理由があります。


マイクロスコープは根の先までみえます。見えるから無痛で感染を取れます。


お薬

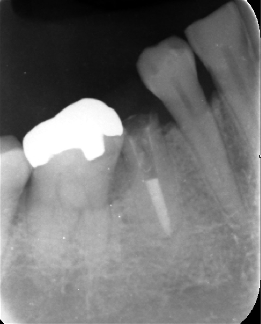
次のケースは今日で3回目の精密根管治療
綺麗になりました。症状もなくOK!!
ラストスパート

最終的なお薬を入れます。レーザー
よっこいしょ
術前
術後
次回から土台へGO!!
この様に当院では「丁寧な治療」はもちろん、それと同じくらい「丁寧な動画による説明」を皆様に受けて頂いております。患者さまとの信頼関係はこの両方が必要でどちらが欠けても駄目だと本日も初診の患者さま(浦和から1時間半かけて来院していただいています)とお話をさせて頂き感じました。
埼玉、八潮、三郷、草加で丁寧な説明ならBiVi歯科・矯正歯科へ。
■ 他の記事を読む■
