常にすべての治療にマイクロスコープを使う理由。
投稿日:2018年5月25日
カテゴリ:院長ブログ
こんにちは。院長の武川です。本日は修復治療が多い1日。
当院では、保険治療、保険外治療、矯正治療、外科治療、問わずすべての治療にマイクロスコープを使用します。理由は
「見える」
これだけです。
ペンシルベニア大のキム教授は
「見えるものしか治せない」
と言うように見えない物は触れません。
逆に高倍率で触ると健康な部分は触りません。だから痛くない。
これもメリット。
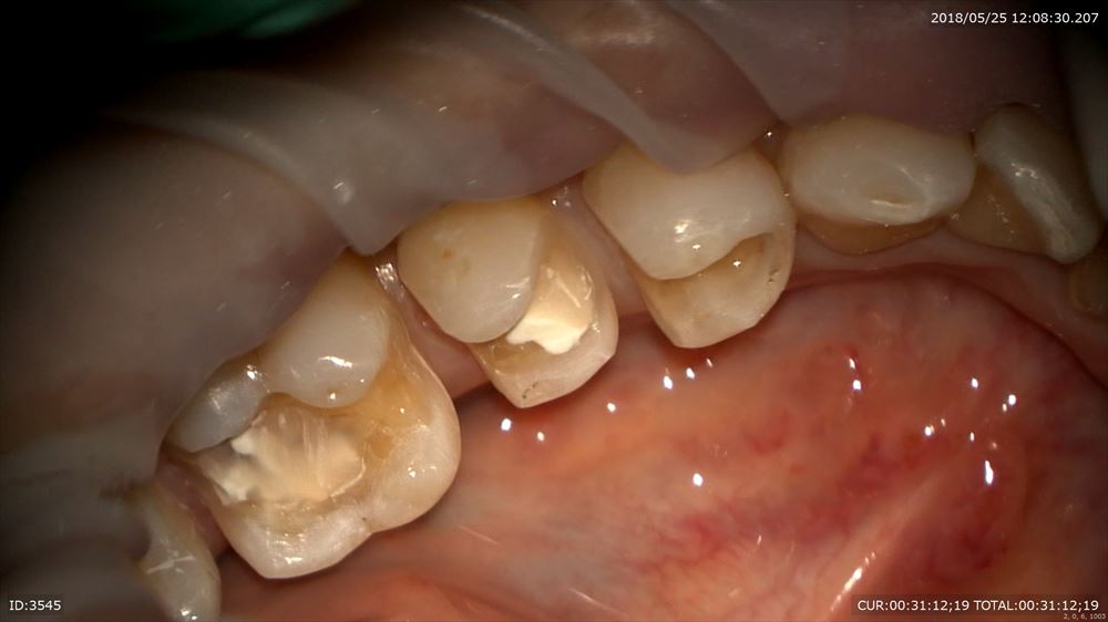
今日の修復。左下5番の修復。前回神経を保護したケース。

調整

セット

違和感も消えました。

歯茎の下までの虫歯も精密治療でこの様に2回で治ります。
次のケースは左下に違和感があり咬むと痛い
咬むと痛いときはヒビやクラックが原因という事が多いです。金属の下の虫歯だけでなく
実はマイクロスコープを使用してこんな所を観察
ここにも原因があったのです。
ほら。患者さまにもこの画像を見て頂き
ここを拡大。クラック見てみましょう。20倍
この様に虫歯はクラックからも発生します。
クラックの修復。

秋山勝彦先生にご指導のお蔭でこの様にマイクロスコープですべて直視下でできます。
6番の遠心見えます。
だから丁寧な形成が可能。両手が使えるから。
歯茎に1mmも触らずにできるから血もでません。無痛!!
このように当院では秋山勝彦先生が開発されたマイクロエンドスコーピックテクニックを駆使し治療しています。
埼玉、八潮、三郷、草加で無痛治療ならBiVi歯科・矯正歯科。
■ 他の記事を読む■
