土曜日は矯正が多い日。
投稿日:2018年5月26日
カテゴリ:院長ブログ
こんにちは。院長の武川です。土曜日は矯正治療が多い日。有り難いです。
矯正治療にも難易度があり
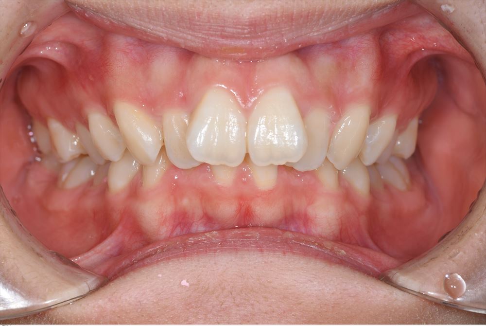
骨格性のⅡ級でAngleⅡ級Ⅱ類。聞いただけで眉を寄せたくなります。
のこの様なケースも綺麗に仕上げられる様になってきました。
継続は力なり。本当だと思います。
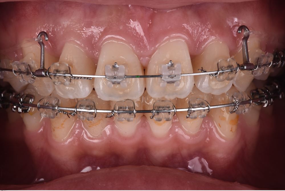
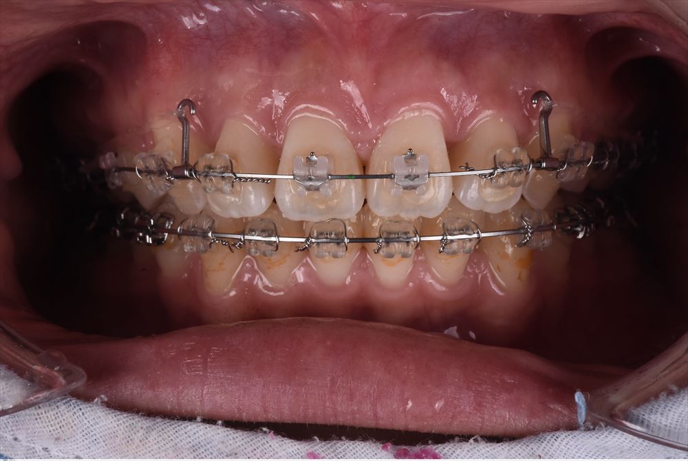
かみ合わせが深いからコントロールが難しく装置をつけるスペースがない。
骨格的にバランスが崩れていてカモフラージュが難しい。
今日

かみ合わせも上がり順調。
マイクロスコープ下での矯正で
結紮もスムーズ
ブラケットポジションの変更もこの様に丁寧に出来エナメル質を傷つけない。


かみ合わもチエック。犬歯関係。
この様に3Dポジションでチエックして矯正しています。
埼玉、三郷、八潮、草加で矯正治療ならBiVi歯科・矯正歯科。
■ 他の記事を読む■
