根管治療で歯を抜かない。
投稿日:2018年6月15日
カテゴリ:院長ブログ
こんにちは。院長の武川です。今日も全ての治療にマイクロスコープを使用し治療を行いました。
先週末は義父の根管治療の予後を見る為来院して頂きチェック。
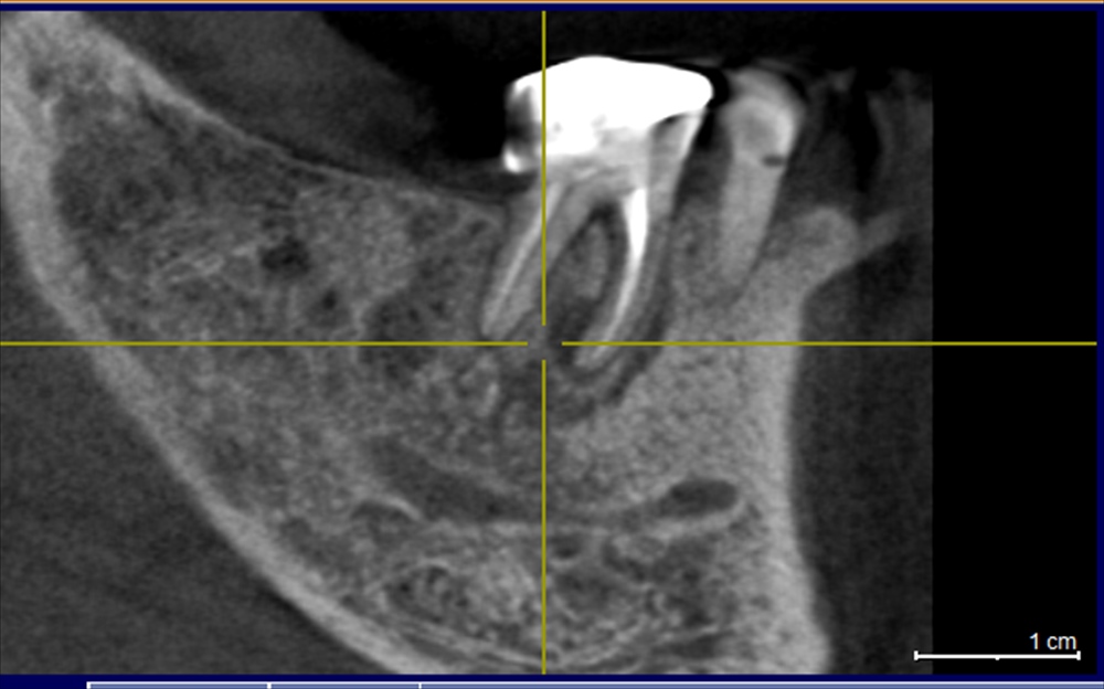
丁度1年前。17年5月21日
ご覧の通り根の周りは骨が全くなくグラグラ。右で全く噛めませんでした。
精密根管治療を1年前に施し

18年6月
明らかに歯の周りは再生した骨で埋まってきました。
揺れが消え痛みもなくなり
「魚を骨まで食べられる!」との事。
大好きな日本酒との相性は抜群みたいです。こんなに嬉しい事はないです。自分の歯で噛んでいつまでも長生きしてほしいです。
今日も似たような症状の方のHさんが
今年2月。
「痛い。腫れがある。」
診断はパーフォレーション。根っこに穴が開いていました。
通常は抜歯になります。この方は強く保存治療を望みました。根管治療時にMTAにてリペアを施しました。術後4ヶ月。安定しています。

ですので本日土台と仮歯を入れました。

土台。
仮歯
セット
今日から噛めるので楽しみと喜んで帰られました。Hさんから
「どうして仮歯を入れるのですか?今までの歯科は奥歯は入れなかった」
と質問を受けました。理由は明確です。
①歯の位置がずれないように。
②服で言う試着のように将来の歯を入れたとき異変がいきなりおきては困ります。まず将来の本物の前に試し入れをして使用できるか、機能的に問題がないか見ていきます。
③歯茎のコントロールの為。仮歯をいれないと歯茎は必ず腫れたり本物の歯を入れるときの形と異なります。本物を入れるときに炎症があったら最悪でその時点で失敗です。
とこんなことを説明しました。だから当院では100%前歯でも奥歯でも仮歯をいれます。
埼玉、八潮、草加、三郷で抜かない歯科はBiVi歯科・矯正歯科。
■ 他の記事を読む■
