歯は残せる。(しっかりやれば。。。)
投稿日:2018年6月22日
カテゴリ:院長ブログ
こんにちは。院長の武川です。
当院では治療を行う際100%
「歯科ドック」を行い診断を行っています。
そして定期的に検査を行い治癒に向かっているか判断をしています。明日の説明する「定期ドック」の患者さまの画像を今見ていると。。。
嬉しい結果が!!
この方は重症の根管治療を去年行いました。左上6番の根管の感染により
骨の中に膿がたまり
鼻までその膿が広がっていました。
本人も抜歯覚悟で来院されました。顔もはれていました。
精密根管治療と患者さまの努力により治癒し抜歯をせずに治りました!
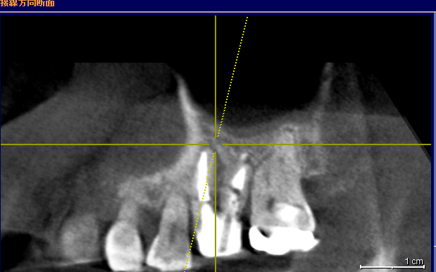
↓去年の夏の画像。上顎洞まで真っ白。
から ↓先週の画像
この状態。
嬉しい!!MTAで根管充填
骨が出来ています。上顎洞も治っています。
根管治療、昔は嫌いでした。見えない。手探り。治らない。
でもマイクロスコープを使用し基本に忠実に無菌的治療を行うとこんなに素晴らしい結果が待っています。
今は根管治療大好きです笑
治るから。
「歯は残せる」
とにかくこういう仕事ができた日はビールがうまい!!
埼玉、草加、八潮、三郷で根管治療はBiVi歯科・矯正歯科
■ 他の記事を読む■
