前歯の再生療法と精密根管治療で歯を保存した症例
投稿日:2019年3月18日
カテゴリ:院長ブログ
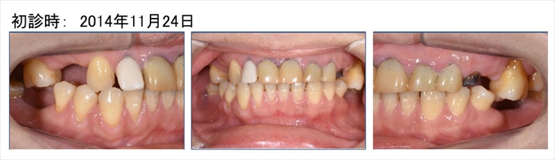
この症例は前歯の揺れを主訴に来た患者さま
奥歯もなく咬めないとおっしゃっていました。
術前のレントゲンでは根尖病変(根の先に膿が溜まっている状態)が確認され、そこに垂直的な骨欠損があり7mmのポケットがありました。右のレントゲンを見て頂くと骨が再生しポケットは2mmに。根尖病変(根の先に膿が溜まっている状態)も改善されています。この症例は歯周病の再生療法と精密根管治療どちらのクオリティーが落ちても上手くいかない症例です。
勿論全体的に歯周病や虫歯も治り良く食べられるとおっしゃって頂けました。

| 治療期間 | 9ヵ月 |
|---|---|
| 治療回数 | 10回 |
| 治療費 | 49.5万円(税込) |
| この治療のリスク | ・前歯と前歯の間に隙間ができる事があります |
埼玉、八潮、草加、三郷で歯周病治療はBiVi歯科・矯正歯科。
■ 他の記事を読む■
