外科処置をせず重度歯周病が改善できている症例
投稿日:2020年10月16日
カテゴリ:院長ブログ
こんにちは。
歯周病治療というのは重度になれば
外科処置を伴う事が多いのは明らかです。
しかし、外科処置は
痛み、経済的なダメージを伴う事が多く敬遠される事が多く抜歯に至る事が少なくはないと思います。
前回のブログでも書いた
MINST(minimally invasive non surgical technique)という処置を私は行い
マイクロスコープとエルビウム・ヤグレーザーにて歯茎を一切切る事なく治療を行っております。
私はMINST(minimally invasive non surgical technique)を行って約4年になります。
症例を1つ
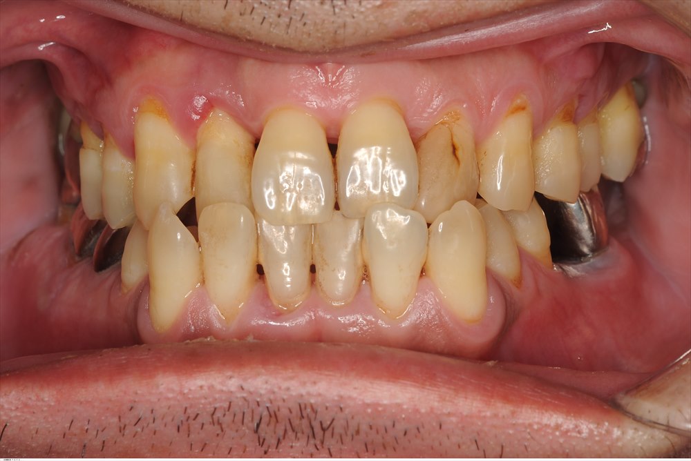
右上の二番目の前歯(腫れている歯)こちらはポケットが12mmあり、骨が根尖付近までなくなっています。


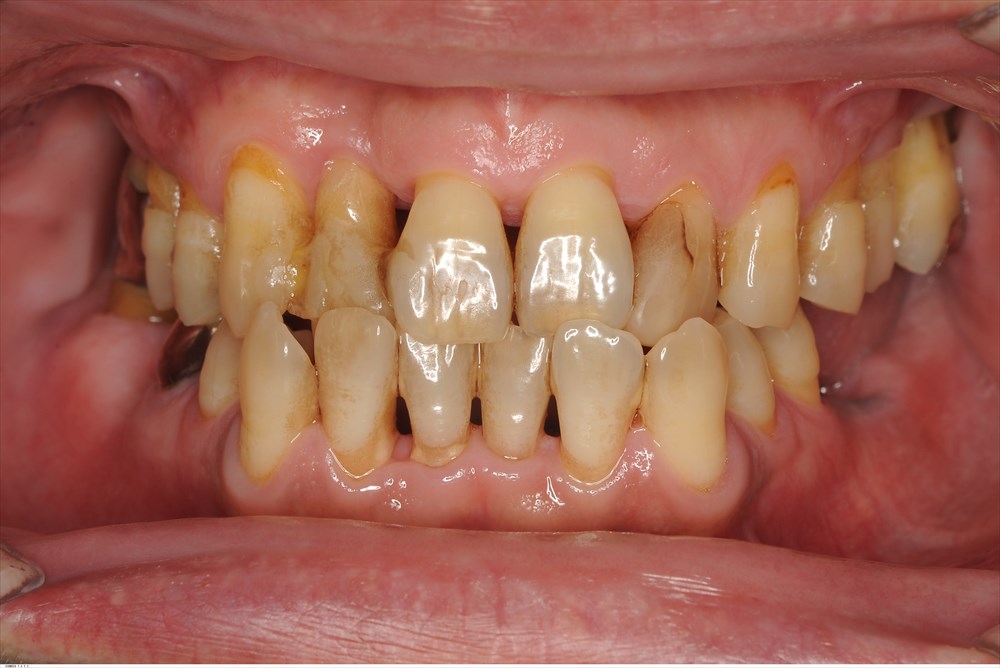
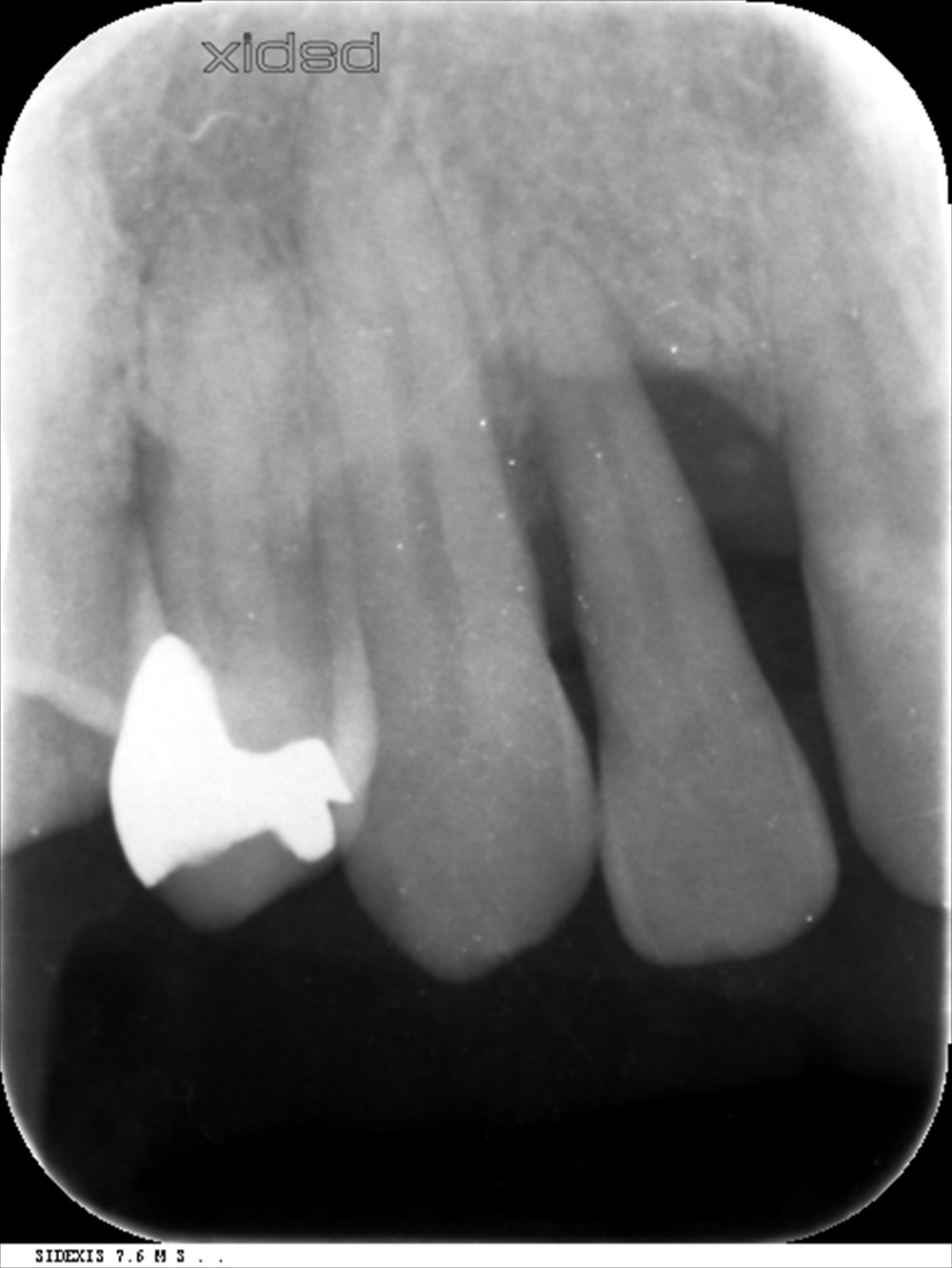
MINST処置後6ヶ月

歯槽骨が明瞭になり安定しています。骨様の再生もありポケットは3mm以下です。
血餅を安定化させるレーザーと徹底的なデブライドメントの為のマイクロスコープ
が今までの歯周病治療の常識を変えています。
患者さまにとっても無痛で安心できます。
| 治療期間 | 3ヵ月 |
|---|---|
| 治療回数 | 1回 |
| 治療費 | この歯1本あたり:1.65万円(税込) |
| この治療のリスク | ・術後しみる事があります |
埼玉、八潮、草加、三郷で歯周病治療ならBiVi歯科・矯正歯科
■ 他の記事を読む■
