前歯の歯周病を手術しないで治した症例
投稿日:2019年3月19日
カテゴリ:院長ブログ
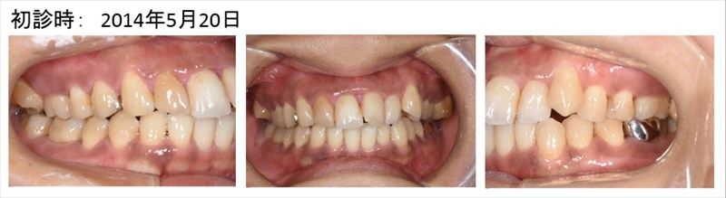
この症例の患者さまは前歯の腫れと膿を主訴にいらした患者さまです。
前歯の中央が腫れで赤みを帯びていますね、
6mmのポケットがありました。
術前のレントゲン
水平的に骨がなくなっていました。
マイクロスコープを使用し無痛でデブライドメントし痛みを感じさせず歯周病を治した症例です。
術後のレントゲン
術前にあった骨の炎症がレントゲンからも消えています。
やはり歯周病が落ち着くと歯茎の色が良いです。
| 治療期間 | 6ヵ月 |
|---|---|
| 治療回数 | 6回 |
| 治療費 | 9.9万円(税込) |
| この治療のリスク | ・歯周病治療の後にしみる事があります |
埼玉、草加、三郷、八潮で歯周病治療ならBiVi歯科・矯正歯科。
■ 他の記事を読む■
