右上のグラグラな歯を保存できた症例
投稿日:2019年3月19日
カテゴリ:院長ブログ
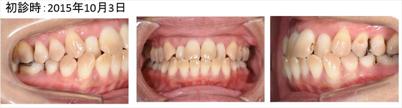
この症例の患者さまは
「右上の一番奥の歯が揺れて咬めない」という主訴でした。
全顎的に重度の歯周病で専門医を探して当院にいらっしゃいました。
歯科ドックを行うと
①歯周病
②かみ合わせ
の2つの問題があり両者にアプローチをしました。
みてください。術前は根の周りに骨がなく、黒い透過像になっていますが術後のメンテナンス時には骨ができています。(白くなってますよね!)歯の揺れもおさまり硬い物が食べられると喜んでいました。
この症例も再生治療など手術はせずに基本治療だけで治しています。
マイクロペリオの効果です。
もしこの症例で歯科ドックを行わず原因が分からないまま治療をしてしまったら多分手術になるか手術しても治らず抜歯を選択していたでしょう。
患者さまの負担を考えればしっかり調べて(歯科ドック)マイクロスコープを使用してなるべく手術せずに治療が出来たら一番良いかなと思います。当院は低侵襲な治療を心掛けています。
| 治療期間 | 6ヵ月 |
|---|---|
| 治療回数 | 8回 |
| 治療費 | 16.5万円(税込) |
| この治療のリスク | ・歯周病治療の後にしみる事があります |
埼玉、八潮、草加、三郷で歯周病治療ならBiVi歯科・矯正歯科。
■ 他の記事を読む■
