再生療法とインプラントにより歯を保存した症例
投稿日:2019年3月19日
カテゴリ:院長ブログ
この症例の患者さまは某有名バンドのギターの方。多分知らない人はいないと思う方です。
患者さんの主訴は奥歯で最近咬む事ができず仕事(全国LIVEなど)にも支障がでている。との事。まだ年齢も若いしカリスマ的な存在ですのでなんとか綺麗にしてあげたいと思いました。
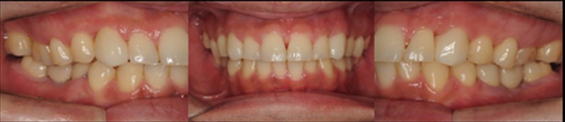
検査の結果重症の歯周病で特に奥歯の骨が吸収されていました。
歯科ドックで細菌検査を行いました。
年齢的に侵襲性歯周炎を疑いました。

全顎的に中等度~重度の歯周病でしたが特にこの青丸の部分に注目すると著しい骨吸収でした。
治療計画をカウンセリングしました。模型を使って説明します。
患者さんと相談し期間やバンド活動などの仕事面を考慮し
この設計になりました。
上の前歯の再生療法

下の奥歯の再生療法


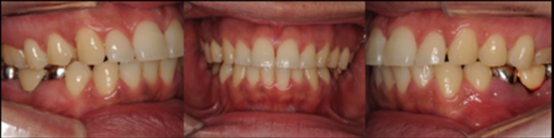
レントゲンでも明らかな再生がみられます。大成功です。インプラントと再生療法を用いて安定させた症例です。術後4年。問題ありません。また良い曲作ってください!!
術後写真

このように重症の歯周病であっても再生療法やインプラントを力のコントロールに使用する事で歯を1本も歯を抜かずに治療する事が出来ます。
| 治療期間 | 1年 |
|---|---|
| 治療回数 | 18回 |
| 治療費 | 121万円(税込) |
| この治療のリスク | ・歯周病治療の後に歯茎が下がる事があります |
埼玉、八潮、草加、三郷で歯周病治療ならBiVi歯科・矯正歯科。
■ 他の記事を読む■
