QDTのMASTERPIECEに載りました!!感動。
投稿日:2020年10月30日
カテゴリ:院長ブログ
こんにちは。院長の武川です。
本日は朝から嬉しい事が。
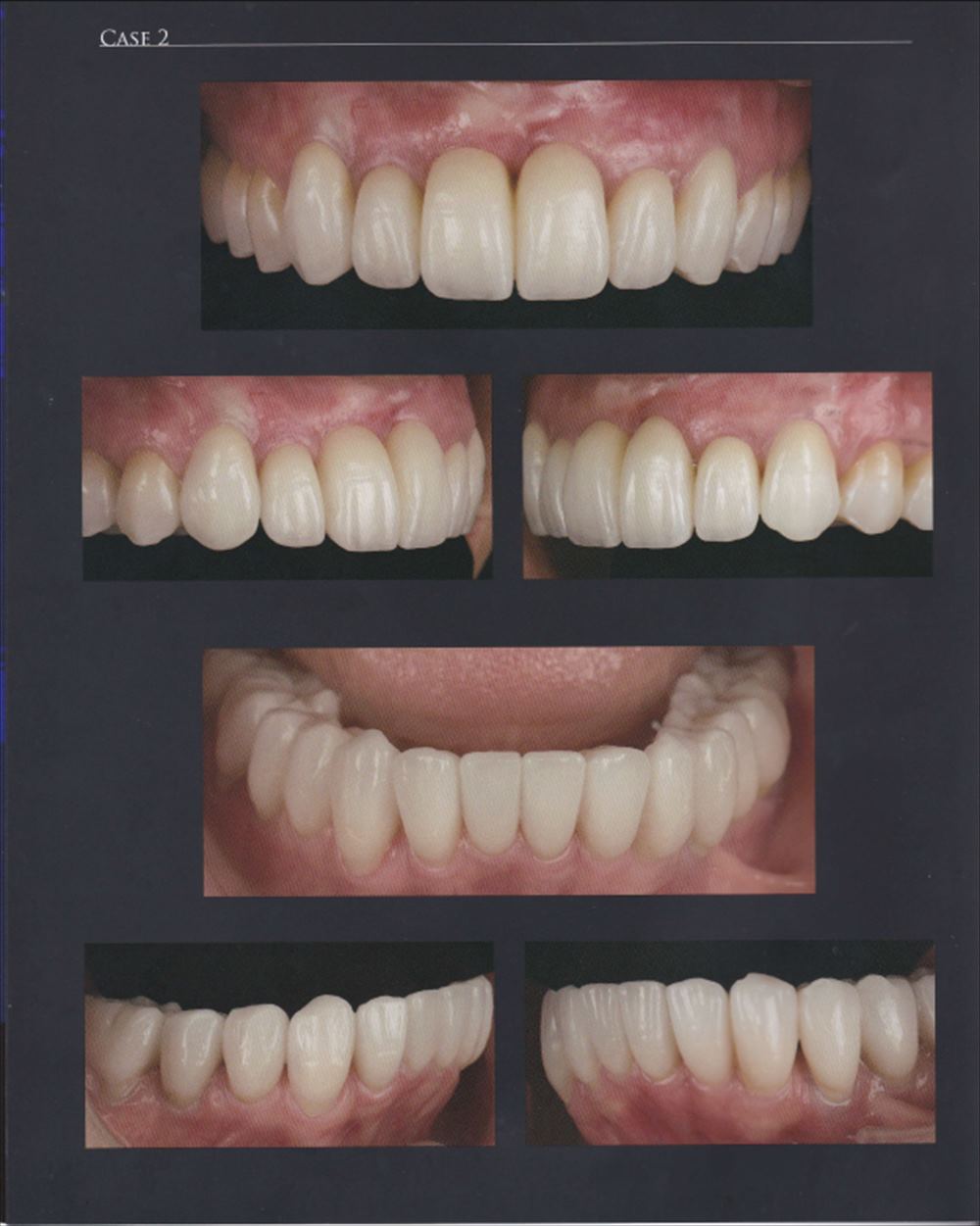
このQDTという雑誌に私の症例がMASTERPIECEで載りました。
このMASTERPIECEとうのは人生で1回載れたら名誉といわれる内容で全世界の先生が見る雑誌になります。
その最初のページを飾らせて頂けました。
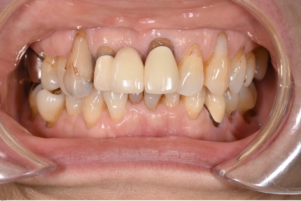
この方の修復ケースです。「歯周病、歯肉退縮を伴った時の審美改善」について書かせて頂き光栄です。


まさか自分がここに載るなんて夢にも思ってなかったです。
夢が叶う時にはいつも2つ重要な事があると思っています。
1つは自分に「出来る」と言い続けた事です。
最初から無理だなんて思うと物事は必ずそっちの方に脳がいきます。
2つ目は「仕事の信頼出来る仲間(チーム)」です。私を支えている子この素晴らしいセラミックをいつも作成している間中道郎技工士と、その師匠である土屋覚技工士です。この人達は「無理」という言葉を使いません。本当に尊敬できる方々です。
このケースも何度、南青山のラボでミーティングしたか、、、。
これで満足せず、また「人が無理だ」という仕事を必ず成功させてみせます。

これがノンプレップ(歯を削らない)ラミネートべニアです。
世界では最先端の所にきているはずです!!
埼玉、八潮、草加、三郷で審美治療ならBiVi歯科・矯正歯科
■ 他の記事を読む■
