無切開インプラントで前歯を綺麗にした症例
投稿日:2020年10月20日
カテゴリ:院長ブログ
こんにちは。院長の武川です。
本日は無切開(メスは使わない手術)を行い非常に前歯が綺麗になった症例を見て頂きます。
当院に来院して頂ける患者さまはご存知かと思いますが、
虫歯、歯周病治療はすべてマイクロスコープで無痛治療ですよね。
ここまではブログを読んで頂いている方もご存知かと思います。
インプラントに関しても勿論マイクロスコープを使うのですが
これです。エールガイド。
このガイドを使用してピンポイントでインプラントを埋入していきます。
歯茎を切らないので手術時間は20分。無痛になります。
内視鏡手術の様な感覚です。
ではこの症例を少し詳しく
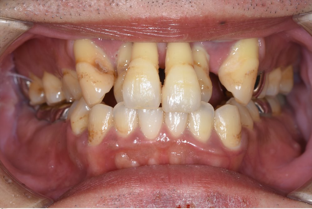
初診は2年前です。
全体的な重度歯周病でした。

前歯だけではなく奥歯も重度歯周病
歯周病専門医の腕の見せ所です。
残念ながら上の前歯は保存が出来ませんでしたが他は歯周基本治療(MINST)を私が行い
治しました。
歯周外科は行わず基本治療(歯茎を切らずマイクロスコープのみ)で
すべて3mm以内のポケットになっています。
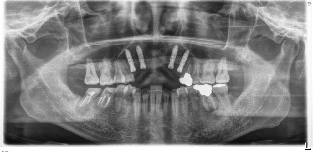
この時点で無切開のインプラントを上の前歯に入れました。
その時のレントゲンです。
不思議です。見る人が見ると分かると思いますが右上、右下で骨の再生が見られます。
この治療も歯周病の再生手術をしておりません。
再生材料も全く使用しないレーザーのみの基本治療のみです。
血餅が安定するように治療しています。
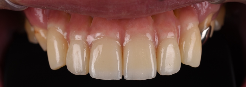
日付をみて頂くとお分かりになるかと思いますが歯周基本治療に約1年掛かっています。
これが大切!細菌のコントロールをしてからインプラントです。

仮歯のコントロールをまた半年行い
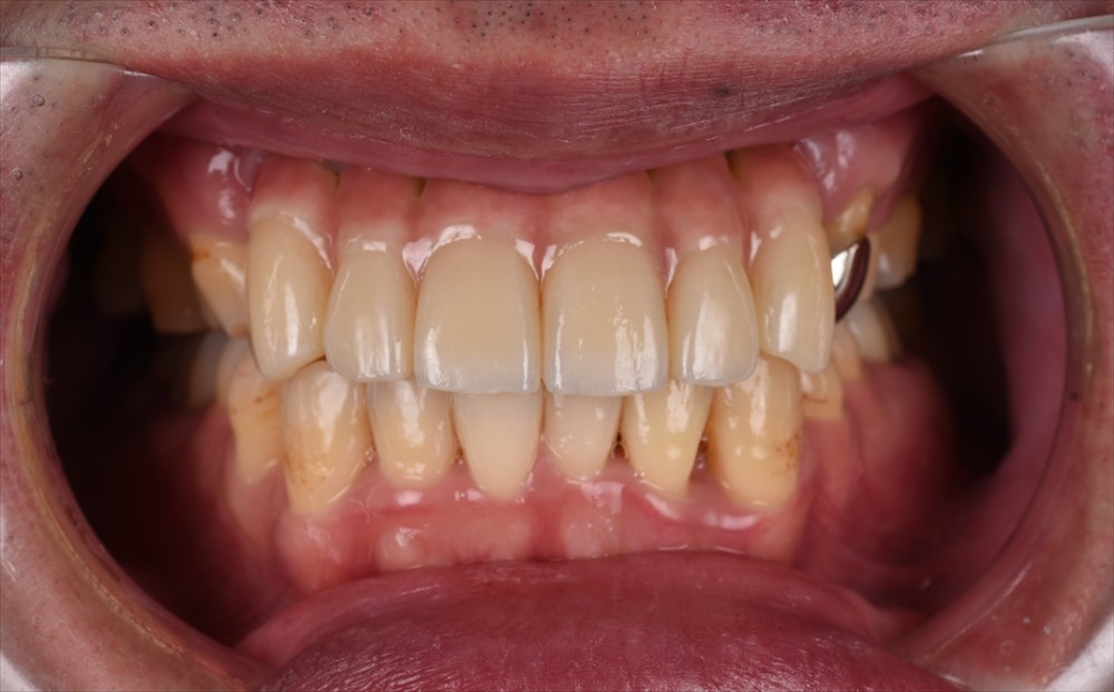
本日
元々重度の歯周病とは誰も思わない歯肉です。

治療終了です。
元々お顔もスタイルもカッコ良い方なのですが益々カッコ良くなりました。
患者さまもとても喜んで頂き、なんだか今日のような日に歯科医を本気でやってて良かったと思います。
明日も患者さまの為に本気で仕事します。
埼玉、八潮、草加、三郷でインプラントならBiVi歯科・矯正歯科
■ 他の記事を読む■
