重症の歯周病(stage4)の歯周病を低侵襲で治療した症例
投稿日:2020年10月27日
カテゴリ:院長ブログ
こんにちは。院長の武川です。
お蔭様で関東一円から歯周病専門医の治療を受診すべく御来院頂き、本当にありがとうございます。
2時間も掛けて来院頂く方も非常に多く、その患者さまを見る度に、
「自分に厳しく」を忘れないようにしています。
自分が患者だったらそんな専門医に診て頂きたいから。
理由はそれだけです。
そういえば、、
先日友達の歯科医に
「全員の患者さまにこんなに、きちんと検査しているのか?」
と意味が解らない事を先日聞かれました。
勿論です!全員です。検査しないで適当にして良い患者なんか1人もいません。
むしろ治療が終わってからがもっと大切です。
当院に来院して頂いている患者さまはご存知の様に再発を防ぐ為、すべてプログラム化されています。
治療が終わった後もきちんと検査をして予防しています。
さて、本日は歯周病の症例を見て頂きます。
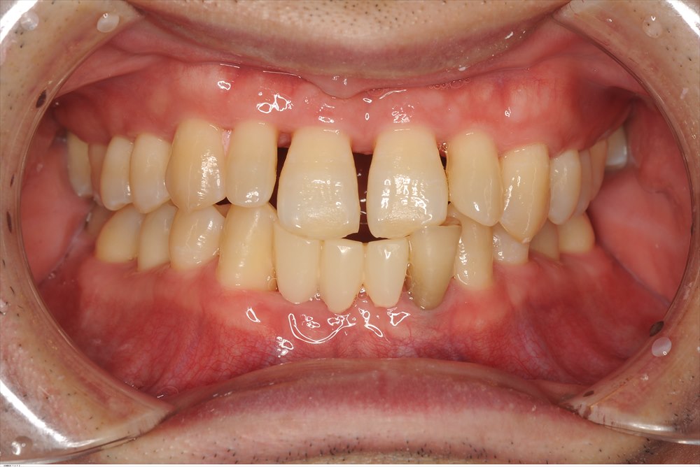
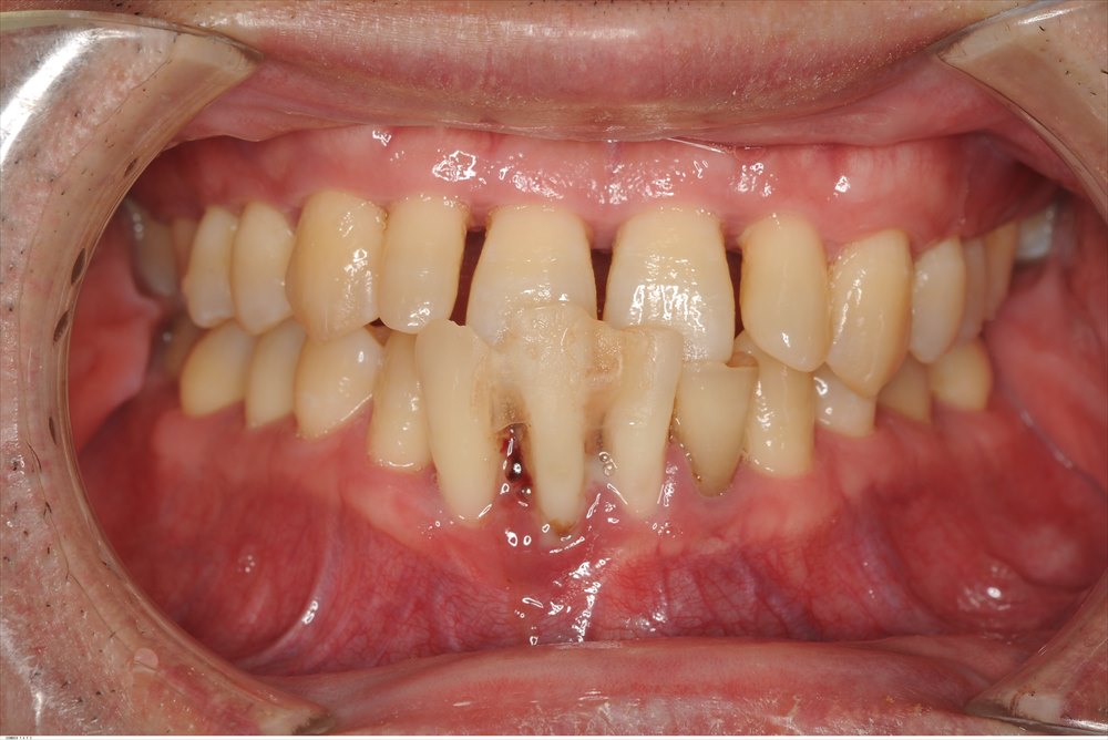
約1年半前に初診でいらした患者さま。重症の歯周病で来院されました。セカンドオピニオンです。
広範性・重度・侵襲性歯周炎と診断しました。
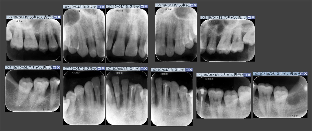
レントゲン
骨の量も全額的に少なく、下の前歯は抜けていました。
右下の6番 膿が出ていました。。。
ここは垂直的に骨が無くなっていました。ポケットは7mm。
かみ合わせの問題もあり調整を行い
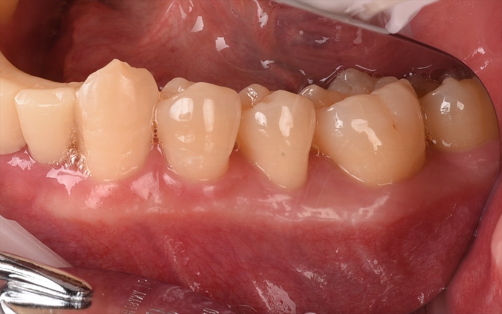
歯周初期治療(MINST)を徹底的に行いました。下記写真は初期治療後のデータです。


ここまで回復しました。右下6番以外はすべて4mm以内に落ち着きました。
マイクロスコープのお陰!!
右下6番だけは
依然7mmのポケットが残っていましたので再生療法を行いました。
マイクロサージェリーとエルビウムヤグレーザーのコンビネーションで
MISTOPEを行い2mmのみの切開→だから痛くない!
だから縫合もここだけ。

術後6ヶ月レントゲン↓
術前↓
再生が認められます。
ポケットも3~4mmで落ち着き出血もありません。

しかしここで終わってしまうと根本的な解決ができていません。
本日から、かみ合わせを整える為、矯正が始まりました。
一生自分の歯で!!頑張りましょう!!
埼玉、八潮、草加、三郷で歯周病治療ならBiVi歯科・矯正歯科
■ 他の記事を読む■
