重症の歯周病をマイクロぺリオで救った症例
投稿日:2019年3月18日
カテゴリ:院長ブログ
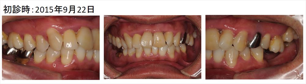
この症例の患者さまは歯茎からの膿に悩み他院から転院してきた方です。
この様に歯茎は前歯も奥歯も真っ赤で白い膿が出ています。
患者さまのブラッシングと私が行ったマイクロスコープを使用した治療で手術もせず無痛で治しています。

23倍で内視鏡の様にバイオフィルムを無痛で取っていきます。
こちらはメンテナンス時です。初診と比較し歯茎の色が良くなりました。歯茎も引き締まっていますね。
奥歯にはインプラントも。これで美味しい物が沢山食べれますね!
この様にマイクロスコープを使用する事で重症の歯周病も90%以上手術せず完治させております。
| 治療期間 | 1年半 |
|---|---|
| 治療回数 | 15回 |
| 治療費 | 104.5万円(税込) |
| この治療のリスク | ・歯周病治療の後に歯茎が下がる事があります |
埼玉、八潮、草加、三郷で歯周病治療ならBiVi歯科クリニック。
■ 他の記事を読む■
