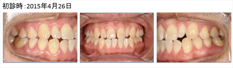
親知らずが食い込み、他院で「抜歯宣告」を受けた症例
投稿日:2019年3月18日
カテゴリ:院長ブログ
この症例は親知らずが手前の歯に食い込み他院で抜歯宣告を受けた症例です。
右下の親知らずが食い込み痛みが出ていました。
歯科ドックの診断から
①既に神経は死んでいました。
②全体的に重症の歯周病。
③親知らずが食い込む事により虫歯が根っこにできてしまっていました。
この状況から他院さんでは抜歯宣告を受けたのです。確かに抜歯されてもおかしくない状況でした。
当院ではMTAによる精密根管治療、歯肉弁根尖側移動術、骨整形により保存が出来ました。

全顎的に歯周病も改善し喜んでおられました!!
歯茎の色もとても良い!!
| 治療期間 | 5ヵ月 |
|---|---|
| 治療回数 | 8回 |
| 治療費 | 7.7万円(税込) |
| この治療のリスク | ・歯茎の形を整えた所に物が詰まりやすくなる事がございます |
埼玉、草加、八潮、三郷で歯周病治療ならBiVi歯科・矯正歯科。
■ 他の記事を読む■
