重症の歯周病をマイクロぺリオで救った症例|埼玉県八潮駅から1番近い歯医者 BiVi歯科・矯正歯科

完全予約制
  • 048-951-1482
  • ※電話受付は午前は12:30/午後は17:00までです

  • 埼玉県八潮市大瀬6-1-6 BiVi八潮3F

院長ブログの記事一覧

重症の歯周病をマイクロぺリオで救った症例

重症の歯周病をマイクロぺリオで救った症例

投稿日:2019年3月18日

カテゴリ:院長ブログ

この症例の患者さまは歯茎からの膿に悩み他院から転院してきた方です。 この様に歯茎は前歯も奥歯も真っ赤で白い膿が出ています。 患者さまのブラッシングと私が行ったマイクロスコープを使用した治療で手術もせず無痛で治しています。 […]

続きを読む

親知らずが食い込み、他院で「抜歯宣告」を受けた症例

親知らずが食い込み、他院で「抜歯宣告」を受けた症例

投稿日:2019年3月18日

カテゴリ:院長ブログ

この症例は親知らずが手前の歯に食い込み他院で抜歯宣告を受けた症例です。 右下の親知らずが食い込み痛みが出ていました。 歯科ドックの診断から ①既に神経は死んでいました。 ②全体的に重症の歯周病。 ③親知らずが食い込む事に […]

続きを読む

前歯の再生療法と精密根管治療で歯を保存した症例

前歯の再生療法と精密根管治療で歯を保存した症例

投稿日:2019年3月18日

カテゴリ:院長ブログ

この症例は前歯の揺れを主訴に来た患者さま奥歯もなく咬めないとおっしゃっていました。 術前のレントゲンでは根尖病変(根の先に膿が溜まっている状態)が確認され、そこに垂直的な骨欠損があり7mmのポケットがありました。右のレン […]

続きを読む

1本の歯も抜かず保存出来ている症例

1本の歯も抜かず保存出来ている症例

投稿日:2019年3月18日

カテゴリ:院長ブログ

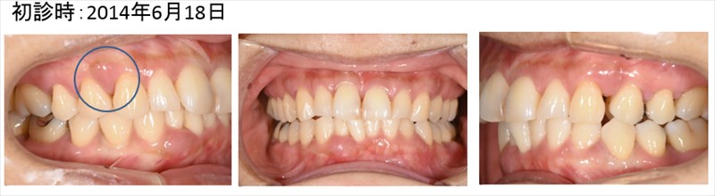
この症例は重症の歯周病の患者さまを1本たりとも歯を抜かず安定している症例です。 歯茎が腫れあがり膿をもっていました。青丸の部分です。全顎的に重度歯周病です。 歯周病のプログラムを当院で受けて頂き特に再生療法の様な手術もせ […]

続きを読む

他院で抜歯と言われた歯を保存した症例

他院で抜歯と言われた歯を保存した症例

投稿日:2019年3月17日

カテゴリ:院長ブログ

この方は2014年11月に初診でいらした方です。 主訴は 「他院で多数抜歯して入れ歯にすると言われた。なるべく抜きたくないし入れ歯なんて絶対嫌!」 知り合いからの御紹介でいらっしゃいました。   初診時です 歯 […]

続きを読む

明けましておめでとうございます。

明けましておめでとうございます。

投稿日:2019年1月3日

カテゴリ:院長ブログ

明けましておめでとうございます。院長の武川です。 2019年が皆様にとって良い年になるよう祈願しております。 当院もお陰様で開院6年目に入りました。 その間当院が毎日朝礼で皆で唱和している言葉を新年なので紹介したいと思い […]

続きを読む

今年最後の診療

今年最後の診療

投稿日:2018年12月29日

カテゴリ:院長ブログ

こんにちは。 院長の武川です。先程無事今年度の診療が終了し大掃除中です! 綺麗にします!! 今年も早かったですねー。今年も顕微鏡治療の強化に数多くのセミナーやトレーニングに費やしました。年始から岡口先生や秋山先生のセミナ […]

続きを読む

年末

年末

投稿日:2018年12月11日

カテゴリ:院長ブログ

こんにちは。院長の武川です。早いものでもう12月。最近は1年があっという間に過ぎていきます。 いつもは本日の患者さまといった情報をブログに書くことが多いのですが今日は少し違ったブログになりそうです。 先日まで「歯科の試験 […]

続きを読む

根管治療とマイクロスコープ

根管治療とマイクロスコープ

投稿日:2018年11月15日

カテゴリ:院長ブログ

こんにちは。院長の武川です。今日は根管治療の多い1日。 根管治療昔は大嫌いでした。 理由はよく解らないし見えないから。半分勘のような物です。。。 最近では100%マイクロスコープを使用して行いますので成功率(歯を保存でき […]

続きを読む

昨日は月1勉強会

昨日は月1勉強会

投稿日:2018年10月4日

カテゴリ:院長ブログ

こんにちは。院長の武川です。 昨日は東京SJCDミィーティングで診療後に急いで表参道に移動しました。原宿デンタルオフィスの山崎先生のオフィスにて勉強会を行い僭越ながらこのプログラムリーダーをさせて頂いていますので座長とし […]

続きを読む

<1 2 3 4 5 6 7 8 9 10 11 >

トップへ戻る